Promotional price valid on web orders only. Your contract pricing may differ. Interested in signing up for a dedicated account number?
Learn More
Learn More
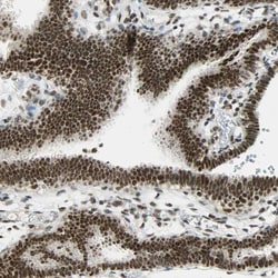
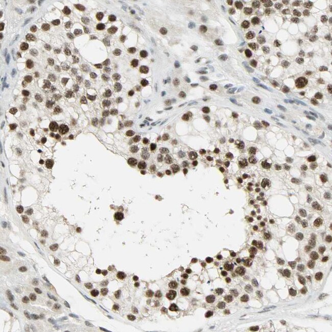
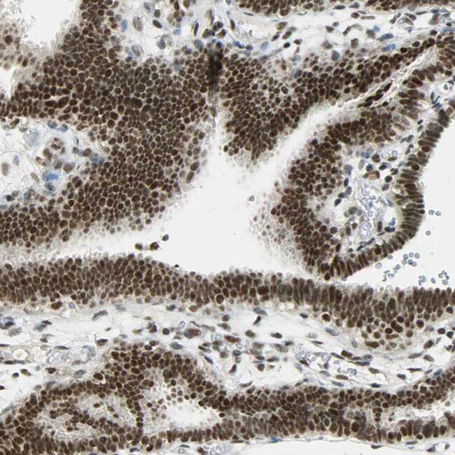
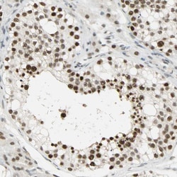
Invitrogen™ SUGP1 Polyclonal Antibody

Rabbit Polyclonal Antibody
Supplier: Invitrogen™ PA552130
Description
Immunogen sequence: GKANRWFGVA PPKSGKMNMN ILHQEELIAQ KKREIEAKME QKAKQNQVAS PQPPHPGEIT NAHNSSCISN KFANDGSFLQ QFLKLQKAQT STDAPTSAPS APPSTPT Highest antigen sequence identity to the following orthologs: Mouse - 86%, Rat - 83%.
SF4 is a member of the SURP family of splicing factors.
Specifications
SUGP1 | |
Polyclonal | |
Unconjugated | |
SUGP1 | |
5730496N02Rik; DKFZp434E2216; F23858; RBP; RNA-binding protein RBP; SF4; Splicing factor 4; SUGP1; SURP and G patch domain containing 1; SURP and G-patch domain containing 1; SURP and G-patch domain-containing protein 1 | |
Rabbit | |
Antigen affinity chromatography | |
RUO | |
290666, 57794, 70616 | |
Store at 4°C short term. For long term storage, store at -20°C, avoiding freeze/thaw cycles. | |
Liquid |
Immunohistochemistry (Paraffin), Western Blot, Immunocytochemistry | |
0.3 mg/mL | |
PBS with 40% glycerol and 0.02% sodium azide; pH 7.2 | |
Q68FU8, Q8CH02, Q8IWZ8 | |
SUGP1 | |
Recombinant protein corresponding to Human SUGP1. Recombinant protein control fragment (Product #RP-89200). | |
100 μL | |
Primary | |
Human, Mouse, Rat | |
Antibody | |
IgG |
Product Content Correction
Your input is important to us. Please complete this form to provide feedback related to the content on this product.
Product Title
Spot an opportunity for improvement?Share a Content Correction