Promotional price valid on web orders only. Your contract pricing may differ. Interested in signing up for a dedicated account number?
Learn More
Learn More
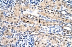
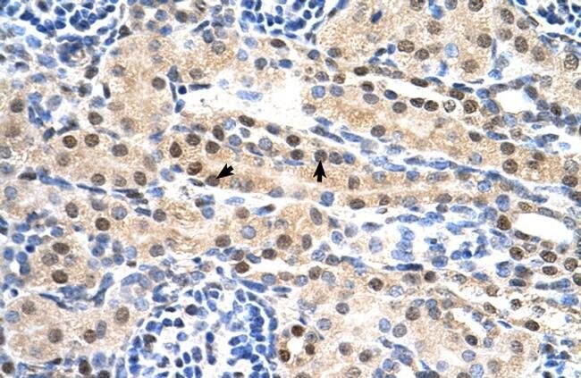
Invitrogen™ SULF2 Polyclonal Antibody

Rabbit Polyclonal Antibody
Supplier: Invitrogen™ PA543331
Description
Peptide sequence: DVLNQLHVQL MELRSCKGYK QCNPRTRNMD LGLKDGGSYE QYRQFQRRKW Sequence homology: Cow: 79%; Dog: 100%; Horse: 100%; Human: 100%; Mouse: 93%; Pig: 93%; Rabbit: 100%; Rat: 100%.
Heparan sulfate 6-O-endosulfatases, such as Sulfatase 2, selectively remove 6-O-sulfate groups from heparan sulfate. Heparan sulfate proteoglycans (HSPGs) act as coreceptors for numerous heparin-binding growth factors and cytokines and are involved in cell signaling. This activity modulates the effects of heparan sulfate by altering binding sites for signaling molecules (Dai et al., 2005 ).
Specifications
| SULF2 | |
| Polyclonal | |
| Unconjugated | |
| SULF2 | |
| 2010004N24Rik; AU020235; DKFZp313E091; Extracellular sulfatase Sulf-2; Extracellular sulfatase Sulf-2-like protein; FLJ44488; FLJ90554; HSULF-2; KIAA1247; MGC126411; mKIAA1247; mSulf-2; OTTHUMP00000031223; RP5-1049G16.1; SULF2; sulfatase 2; sulfatase FP2; UNQ559/PRO1120 | |
| Rabbit | |
| Protein A | |
| RUO | |
| 55959 | |
| -20°C, Avoid Freeze/Thaw Cycles | |
| Liquid |
| Immunohistochemistry, Western Blot | |
| 1 mg/mL | |
| PBS with 2% sucrose and 0.09% sodium azide | |
| Q8IWU5 | |
| SULF2 | |
| Synthetic peptide directed towards the C-terminal of human SULF2 (aa 801-850). | |
| 100 μL | |
| Primary | |
| Human | |
| Antibody | |
| IgG |
Product Content Correction
Your input is important to us. Please complete this form to provide feedback related to the content on this product.
Product Title
Spot an opportunity for improvement?Share a Content Correction