Promotional price valid on web orders only. Your contract pricing may differ. Interested in signing up for a dedicated account number?
Learn More
Learn More
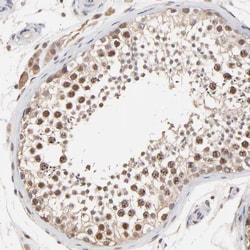
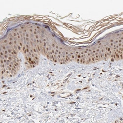
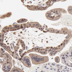
Invitrogen™ Survivin Polyclonal Antibody

Rabbit Polyclonal Antibody
Supplier: Invitrogen™ PA5110659
Description
Immunogen sequence: MGAPTLPPAW QPFLKDHRIS TFKNWPFLEG CACTPERMAE AGFIHCPTEN EPDLAQCFFC FKELEGWEPD DDPIEEHKKH SSGCAFLSVK KQFEELTLGE FLKLDRERAK NKIAKETNNK KKEFEETA.
Survivin (IAP4) is the smallest member of the Inhibitors of Apoptosis Protein (IAP) gene family. The IAPs are involved in multiple cell functions such as cell signaling, cell division, metabolism, and exhibits differential expression in nearly all human cancers, but not in most normal tissues. IAP family members usually contain multiple baculovirus IAP repeat (BIR) domains, but the Survivin gene encodes proteins with only a single BIR domain. The encoded proteins also lack a C-terminus RING finger domain. Gene expression is high during fetal development and in most tumors yet low in adult tissues. Antisense transcripts are involved in the regulation of survivin's gene expression. Survivin is expressed in the G2/M phase of the cell cycle in a cycle-regulated manner. At the beginning of mitosis, survivin associates with microtubules of the mitotic spindle in a specific and saturable reaction that is regulated by microtubule dynamics. Disruption of survivin-microtubule interactions results in loss of survivin's anti-apoptosis function and increased caspase-3 activity, a mechanism involved in cell death, during mitosis. Survivin may counteract a default induction of apoptosis in G2/M phase. Survivin is also abundantly expressed in brain tissues (astrocytes and some neurons) of adult rats following traumatic brain injury. Survivin has been found co-expressed with NeuN (mature neuronal marker) and PCNA (a cell cycle protein). Survivin might affect regulation of neural cell proliferative responses after brain injury. At least four transcript variants encoding distinct isoforms have been found for this gene, but the full-length natures of only three of them have been determined. The overexpression of survivin in cancer may overcome this apoptotic checkpoint and favor aberrant progression of transformed cells through mitosis.
Specifications
| Survivin | |
| Polyclonal | |
| PBS with 40% glycerol and 0.02% sodium azide; pH 7.2 | |
| O15392 | |
| Birc5 | |
| Recombinant Protein corresonding to Human Survivin. Recombinant protein control fragment (Product #RP-101903). | |
| 100 μL | |
| Primary | |
| Human | |
| Antibody | |
| IgG |
| Immunohistochemistry (Paraffin), Western Blot | |
| Unconjugated | |
| Birc5 | |
| AAC-11; AP14; Api4; apoptosis inhibitor 4; Apoptosis inhibitor survivin; baculoviral IAP repeat containing 5; baculoviral IAP repeat-containing 5; baculoviral IAP repeat-containing 5 (survivin); baculoviral IAP repeat-containing protein 5; BIRC 5; BIRC5; EPR 1; EPR-1; Iap4; inhibitor of apoptosis; survivin; survivin variant 3 alpha; survivin40; SVV; TIAP | |
| Rabbit | |
| Antigen affinity chromatography | |
| RUO | |
| 332 | |
| Store at 4°C short term. For long term storage, store at -20°C, avoiding freeze/thaw cycles. | |
| Liquid |
Product Content Correction
Your input is important to us. Please complete this form to provide feedback related to the content on this product.
Product Title
Spot an opportunity for improvement?Share a Content Correction