Promotional price valid on web orders only. Your contract pricing may differ. Interested in signing up for a dedicated account number?
Learn More
Learn More
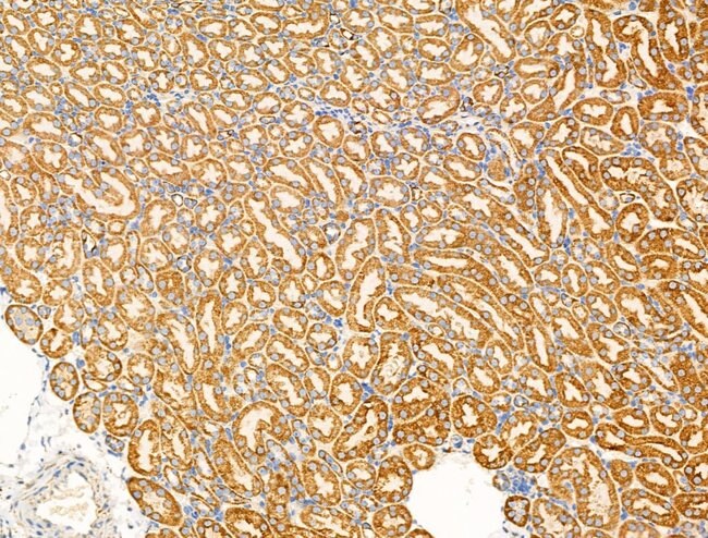
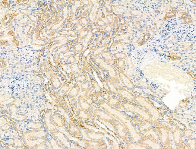
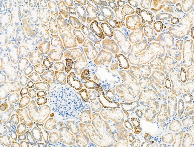
Invitrogen™ SV2A Polyclonal Antibody

Rabbit Polyclonal Antibody
Supplier: Invitrogen™ PA5115990
Description
Antibody detects endogenous levels of total SV2A.
This protein plays a role in the control of regulated secretion in neural and endocrine cells, enhancing selectively low-frequency neurotransmission. Positively regulates vesicle fusion by maintaining the readily releasable pool of secretory vesicles.It is identified as the brain binding-site for the antiepileptic drug levetiracetam/lev.
Specifications
| SV2A | |
| Polyclonal | |
| Unconjugated | |
| SV2A | |
| AI746429; calcium regulator SV2A; Kiaa0736; mKIAA0736; PSEC0174; SV2; SV2A; synaptic vesicle glycoprotein 2 a; synaptic vesicle glycoprotein 2a; Synaptic vesicle protein 2; synaptic vesicle protein 2A; synaptic vesicle transmembrane transporter (SV2) RNA | |
| Rabbit | |
| Affinity chromatography | |
| RUO | |
| 117559, 64051, 9900 | |
| -20°C | |
| Liquid |
| Immunohistochemistry (Paraffin), Western Blot | |
| 1 mg/mL | |
| PBS with 50% glycerol and 0.02% sodium azide | |
| Q02563, Q7L0J3, Q9JIS5 | |
| SV2A | |
| A synthesized peptide derived from human SV2A(Accession Q7L0J3), corresponding to amino acid residues K20-G70. | |
| 100 μL | |
| Primary | |
| Human, Mouse, Rat | |
| Antibody | |
| IgG |
Safety and Handling
WARNING: Cancer - www.P65Warnings.ca.gov
Product Content Correction
Your input is important to us. Please complete this form to provide feedback related to the content on this product.
Product Title
Spot an opportunity for improvement?Share a Content Correction