Promotional price valid on web orders only. Your contract pricing may differ. Interested in signing up for a dedicated account number?
Learn More
Learn More
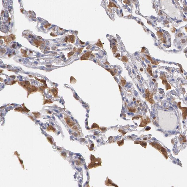
Invitrogen™ Syk Polyclonal Antibody

Rabbit Polyclonal Antibody
Supplier: Invitrogen™ PA5110630
Description
Immunogen sequence: GLLRVLTVPC QKIGTQGNVN FGGRPQLPGS HPATWSAGGI ISRIKSYSFP KPGHRKSSPA QGNRQESTVS FNPYEPELAP WAADKGPQRE ALPMDTEVYE SPYADPEEIR PKEVYLDRKL LTLEDKELGS GNF.
Spleen tyrosine kinase (SYK), along with ZAP70, are cytoplasmic tyrosine kinases that are viewed as potential druge targets for allergic disorders and autoimmune diseases. SYK may also play a role in cancer. Syk translocates to the plasma membrane upon B cell antigen receptor (BCR) or the high-affinity IgE receptor (FcepsilonRI) triggering, and phosphorylates downstream adaptor proteins, thereby providing docking sites for initiation of subsequent signaling pathways, such as calcium mobilization, cytoskeleton remodeling, or transcription of specific genes. Syk binds to the receptor assemblies through interactions of its pair of SH2 domains with ITAM motives of the receptor, which have been phosphorylated by Src-family kinases. These kinases also help to activate Syk by phosphorylation of its activation loop.
Specifications
| Syk | |
| Polyclonal | |
| PBS with 40% glycerol and 0.02% sodium azide; pH 7.2 | |
| P43405 | |
| Syk | |
| Recombinant Protein corresonding to Human Syk. Recombinant protein control fragment (Product #RP-95942). | |
| 100 μL | |
| Primary | |
| Human | |
| Antibody | |
| IgG |
| Immunohistochemistry (Paraffin) | |
| Unconjugated | |
| Syk | |
| DKFZp313N1010; EC 2.7.10.2; FLJ25043; FLJ37489; HGNC:11205; kinase Syk; KSYK; p72Syk; p72-Syk; ptk72; SP1; spleen associated tyrosine kinase; spleen tyrosine kinase; SYK; syk signaling; Sykb; tyrosine-kinase syk; tyrosine-protein kinase SYK | |
| Rabbit | |
| Antigen Affinity Chromatography | |
| RUO | |
| 6850 | |
| Store at 4°C short term. For long term storage, store at -20°C, avoiding freeze/thaw cycles. | |
| Liquid |
Safety and Handling
WARNING: Cancer - www.P65Warnings.ca.gov
Product Content Correction
Your input is important to us. Please complete this form to provide feedback related to the content on this product.
Product Title
Spot an opportunity for improvement?Share a Content Correction