Learn More
Synaptophysin Antibody (7H12) - Azide and BSA Free, Novus Biologicals™
Shop All R&D Systems Products

Description
Specifications
Specifications
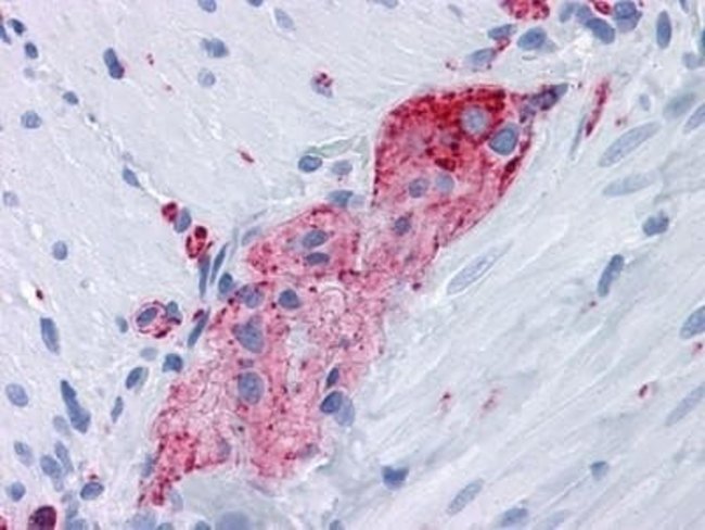
| Antigen | Synaptophysin |
| Applications | Western Blot, ELISA, Immunohistochemistry, Immunohistochemistry (Paraffin) |
| Classification | Monoclonal |
| Clone | 7H12 |
| Concentration | 1 mg/mL |
| Conjugate | Unconjugated |
| Dilution | Western Blot : 1:500 - 1:2000, ELISA 1:10000, Immunohistochemistry, Immunohistochemistry-Paraffin : 1:200 - 1:1000 |
| Formulation | PBS |
| Gene Alias | Major synaptic vesicle protein p38, MRX, MRXSYP, synaptophysin |
| Gene Symbols | SYP |
| Show More |
By clicking Submit, you acknowledge that you may be contacted by Fisher Scientific in regards to the feedback you have provided in this form. We will not share your information for any other purposes. All contact information provided shall also be maintained in accordance with our Privacy Policy.