Promotional price valid on web orders only. Your contract pricing may differ. Interested in signing up for a dedicated account number?
Learn More
Learn More
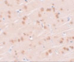
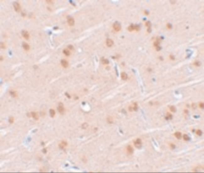
Invitrogen™ SYNGR1 Polyclonal Antibody

Rabbit Polyclonal Antibody
Supplier: Invitrogen™ PA520876
Description
A suggested positive control is rat brain tissue lysate. PA5-20876 can be used with blocking peptide PEP-0990.
Synaptogyrins comprise a family of tyrosine-phosphorylated membrane proteins with two neuronal (SYNGR1 and SYNGR3) and one ubiquitous (SYNGR2) members. SYNGR1 and -3 are synaptic vesicle proteins, residing in some cases on the same synaptic vesicle, and are thought to be involved in the regulation of neurotransmitter release. SYNGR2, by contrast, is absent from synaptic vesicles. The role and localization of a fourth synaptogyrin, SYNGR4, is unclear. The gene for SYNGR1is located at chromosome 22q13, a region linked to schizophrenia; however, there is mixed evidence suggesting that mutations in SYNGR1 might be associated with schizophrenia.
Specifications
SYNGR1 | |
Polyclonal | |
Unconjugated | |
Syngr1 | |
p29; R75468; RP3-333H23.3; synaptogyrin 1; synaptogyrin-1; Syngr1; Syngr1b | |
Rabbit | |
Antigen affinity chromatography | |
RUO | |
20972, 29205, 9145 | |
Maintain refrigerated at 2-8°C for up to 3 months. For long term storage store at -20°C | |
Liquid |
Immunohistochemistry, Western Blot | |
1 mg/mL | |
PBS with 0.02% sodium azide | |
O43759, O55100, Q62876 | |
Syngr1 | |
A 16 amino acid peptide from near the center of human SYNGR1. | |
100 μg | |
Primary | |
Human, Mouse, Rat | |
Antibody | |
IgG |
Product Content Correction
Your input is important to us. Please complete this form to provide feedback related to the content on this product.
Product Title
Spot an opportunity for improvement?Share a Content Correction