Promotional price valid on web orders only. Your contract pricing may differ. Interested in signing up for a dedicated account number?
Learn More
Learn More
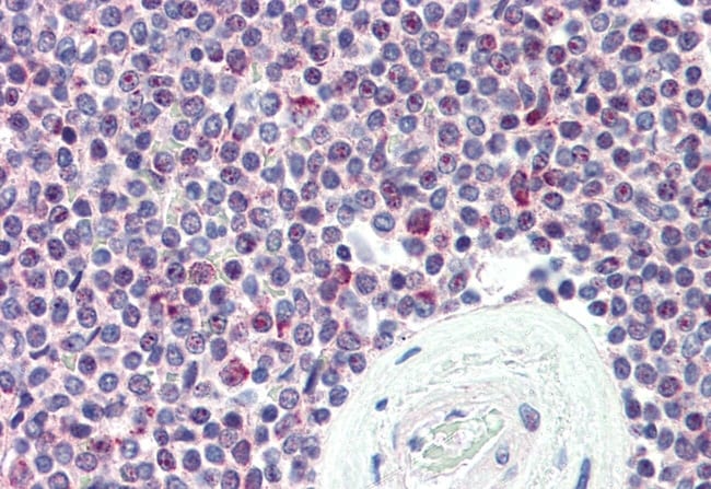
Invitrogen™ SYNGR2 Polyclonal Antibody

Rabbit Polyclonal Antibody
Supplier: Invitrogen™ PA534232
Description
Percent identity with other species by BLAST analysis: Human (100%) Marmoset (93%) Monkey (86%).
Synaptogyrins comprise a family of tyrosine-phosphorylated membrane proteins with two neuronal (SYNGR1 and SYNGR3) and one ubiquitous (SYNGR2) members. SYNGR1 and -3 are synaptic vesicle proteins, residing in some cases on the same synaptic vesicle, and are thought to be involved in the regulation of neurotransmitter release. SYNGR2, by contrast, is absent from synaptic vesicles. The role and localization of a fourth synaptogyrin, SYNGR4, is unclear. SYNGR3 is predominantly expressed in brain and placenta. The exact function of SYNGR2 is unknown, but studies suggest that it may play a role in regulating membrane traffic in non-neuronal cells.
Specifications
SYNGR2 | |
Polyclonal | |
Unconjugated | |
SYNGR2 | |
cellugyrin; Clast2; MGC102914; synaptogyrin 2; synaptogyrin-2; Syngr2; UNQ352/PRO615 | |
Rabbit | |
Antigen affinity chromatography | |
RUO | |
9144 | |
Store at 4°C short term. For long term storage, store at -20°C, avoiding freeze/thaw cycles. | |
Liquid |
Immunohistochemistry (Paraffin) | |
1 mg/mL | |
PBS with 0.1% sodium azide | |
O43760 | |
SYNGR2 | |
Synthetic 14 amino acid peptide from internal region of human SYNGR2 / Synaptogyrin 2. | |
50 μg | |
Primary | |
Human | |
Antibody | |
IgG |
Safety and Handling
WARNING: Cancer - www.P65Warnings.ca.gov
Product Content Correction
Your input is important to us. Please complete this form to provide feedback related to the content on this product.
Product Title
Spot an opportunity for improvement?Share a Content Correction