Promotional price valid on web orders only. Your contract pricing may differ. Interested in signing up for a dedicated account number?
Learn More
Learn More
Invitrogen™ Syntaxin 2 Polyclonal Antibody
Rabbit Polyclonal Antibody
Supplier: Invitrogen™ PA5121566
This item is not returnable.
View return policy
Description
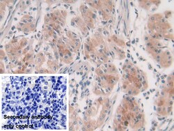
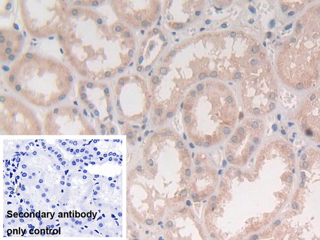
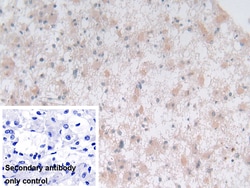
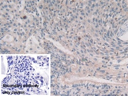
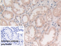
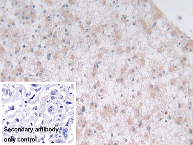
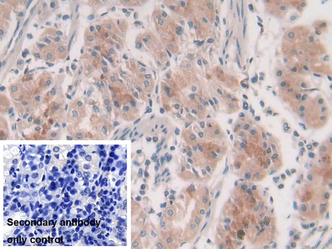
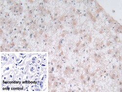
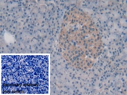
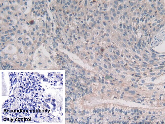
Syntaxin 2 Polyclonal Antibody for Western Blot, IHC (P)
The product of this gene belongs to the syntaxin/epimorphin family of proteins. The syntaxins are a large protein family implicated in the targeting and fusion of intracellular transport vesicles. The product of this gene regulates epithelial-mesenchymal interactions and epithelial cell morphogenesis and activation. Alternatively spliced transcript variants encoding different isoforms have been identified.
Specifications
Syntaxin 2 | |
Polyclonal | |
Unconjugated | |
Stx2 | |
AW538950; EPIM; Epimorphin; EPM; G1-536-1; I79_024396; MGC51014; repro34; Stx2; STX2A; STX2B; STX2C; Syn-2; syntaxin 2; syntaxin-2 | |
Rabbit | |
Antigen affinity chromatography, Protein A | |
RUO | |
100155887, 2054 | |
Store at 4°C short term. For long term storage, store at -20°C, avoiding freeze/thaw cycles. | |
Liquid |
Immunohistochemistry (Paraffin), Western Blot | |
0.5 mg/mL | |
PBS with 50% glycerol and 0.05% ProClin 300; pH 7.4 | |
P32856 | |
Stx2 | |
Recombinant protein Syntaxin 2. The antigen corresponds to amino acid range 8-262 of the target protein. | |
20 μL | |
Primary | |
Human, Pig | |
Antibody | |
IgG |
Product Content Correction
Your input is important to us. Please complete this form to provide feedback related to the content on this product.
Product Title
Spot an opportunity for improvement?Share a Content Correction