Learn More
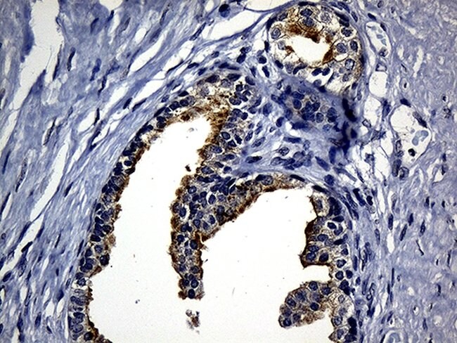
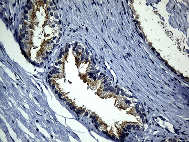
SYTL4 Mouse anti-Human, Clone: OTI3C8, lyophilized, TrueMAB™

Mouse Monoclonal Antibody
Supplier: OriGene CF810588

Description
Reconstitute with PBS (pH 7.3) and recommend to perform another round of desalting process using Product No. 7KMWCO
This gene encodes a member of the synaptotagmin like protein family. Members of this family are characterized by an N-terminal Rab27 binding domain and C-terminal tandem C2 domains. The encoded protein binds specific small Rab GTPases and is involved in intracellular membrane trafficking. This protein binds Rab27 and may be involved in inhibiting dense core vesicle exocytosis. Alternate splicing results in multiple transcript variants that encode the same protein.Specifications
SYTL4 | |
Monoclonal | |
Unconjugated | |
SYTL4 | |
SLP4 | |
Mouse | |
Affinity Chromatography | |
RUO | |
94121 | |
-20° C, Avoid Freeze/Thaw Cycles | |
Lyophilized |
Immunohistochemistry (Paraffin), Western Blot | |
OTI3C8 | |
PBS with 8% trehalose and no preservative; pH 7.3 | |
Q96C24 | |
SYTL4 | |
Full length human recombit protein of human SYTL4 produced in E.coli. | |
100 μg | |
Primary | |
Human | |
Antibody | |
IgG2a |
The Fisher Scientific Encompass Program offers items which are not part of our distribution portfolio. These products typically do not have pictures or detailed descriptions. However, we are committed to improving your shopping experience. Please use the form below to provide feedback related to the content on this product.