Learn More
Invitrogen™ TACC3 Recombinant Rabbit Monoclonal Antibody (7S7L2)

Description
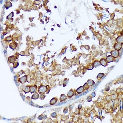
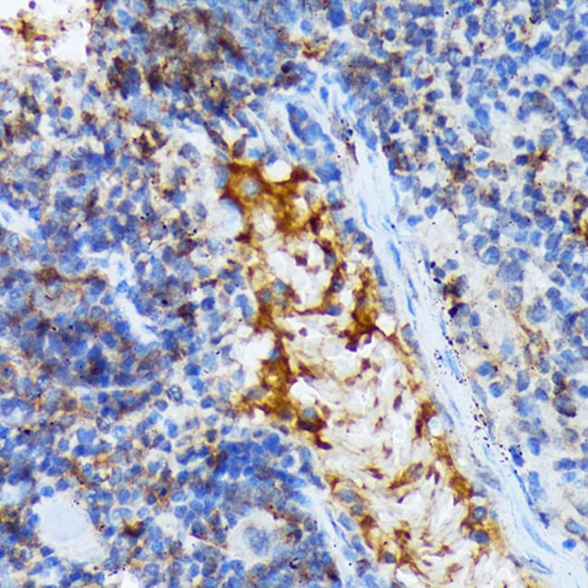
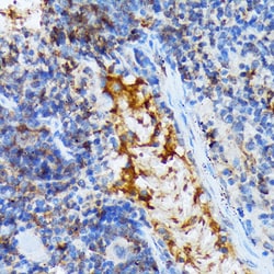
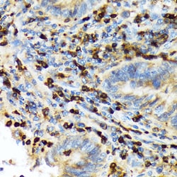
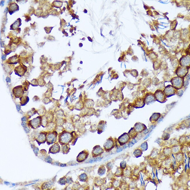
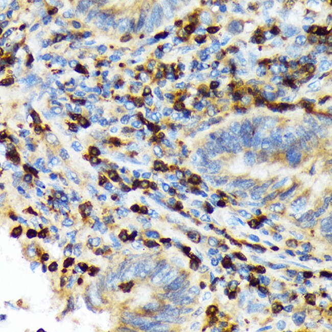
Positive Samples: 293T Immunogen sequence: MSLQVLNDKN VSNEKNTENC DFLFSPPEVT GRSSVLRVSQ KENVPPKNLA KAMKVTFQTP LRDPQTHRIL SPSMASKLEA PFTQDDTLGL ENSHPVWTQK.
Specifications
Specifications
| Antigen | TACC3 |
| Applications | ELISA, Immunohistochemistry (Paraffin), Western Blot, Immunocytochemistry |
| Classification | Recombinant Monoclonal |
| Clone | 7S7L2 |
| Concentration | 1.15 mg/mL |
| Conjugate | Unconjugated |
| Formulation | PBS with 0.05% BSA, 50% glycerol and 0.02% sodium azide; pH 7.3 |
| Gene | TACC3 |
| Gene Accession No. | Q9JJ11, Q9Y6A5 |
| Gene Alias | Aint; Arnt interacting protein; ARNT-interacting protein; C86661; ERIC1; ERIC-1; Tacc3; transforming acidic coiled coil 3; transforming acidic coiled-coil containing protein 3; transforming acidic coiled-coil-containing protein 3; transforming, acidic coiled-coil containing protein 3 |
| Show More |
By clicking Submit, you acknowledge that you may be contacted by Fisher Scientific in regards to the feedback you have provided in this form. We will not share your information for any other purposes. All contact information provided shall also be maintained in accordance with our Privacy Policy.