Learn More
Invitrogen™ TAF12 Polyclonal Antibody

Description
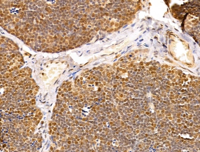
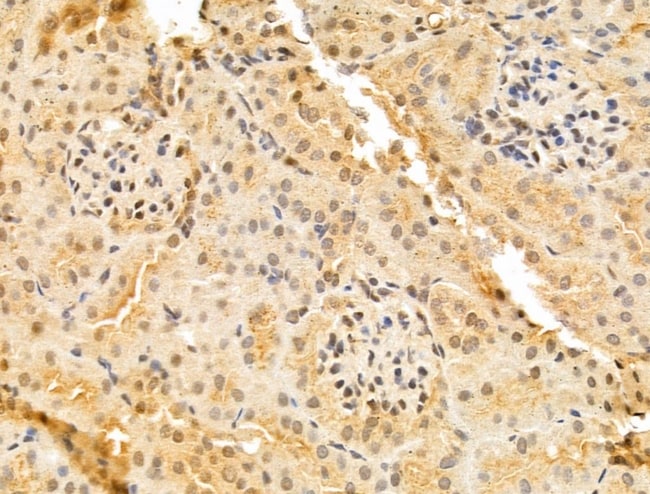
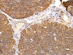
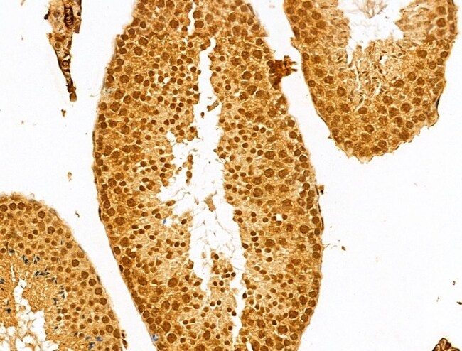
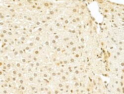
Antibody detects endogenous levels of total TAF12.
Specifications
Specifications
| Antigen | TAF12 |
| Applications | Immunohistochemistry (Paraffin), Western Blot, Immunocytochemistry |
| Classification | Polyclonal |
| Concentration | 1 mg/mL |
| Conjugate | Unconjugated |
| Formulation | PBS with 50% glycerol and 0.02% sodium azide; pH 7.4 |
| Gene | TAF12 |
| Gene Accession No. | Q16514, Q8VE65 |
| Gene Alias | 20kDa; 2810422D08Rik; AW557038; hypothetical protein LOC614227; TAF12; TAF12 RNA polymerase II, TATA box binding protein (TBP)-associated factor; TAF12 RNA polymerase II, TATA box binding protein (TBP)-associated factor, 20 kD; TAF12 RNA polymerase II, TATA box binding protein (TBP)-associated factor, 20 kDa; TAF12 RNA polymerase II, TATA box binding protein (TBP)-associated factor, 20kDa; TAF15; TAF2J; TAFII20; TAFII-20; TAFII20/TAFII15; TAFII-20/TAFII-15; TATA box binding protein (TBP)-associated factor, RNA polymerase II, J, 20kD; TATA box binding protein associated factor 12; TATA-box binding protein associated factor 12; TATA-box binding protein associated factor 12; transcription initiation factor TFIID subunit 12; transcription initiation factor TFIID 20 kDa subunits; Transcription initiation factor TFIID 20/15 kDa subunits; transcription initiation factor TFIID subunit 12 |
| Gene Symbols | TAF12 |
| Show More |
Safety and Handling
By clicking Submit, you acknowledge that you may be contacted by Fisher Scientific in regards to the feedback you have provided in this form. We will not share your information for any other purposes. All contact information provided shall also be maintained in accordance with our Privacy Policy.