Promotional price valid on web orders only. Your contract pricing may differ. Interested in signing up for a dedicated account number?
Learn More

TAF5 Polyclonal Antibody, Invitrogen™

Rabbit Polyclonal Antibody

Supplier:  Thermo Scientific PA538685

Catalog No. PIPA538685


Description

Description

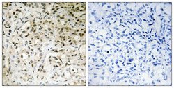
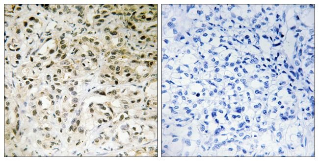
TFIID is a general transcription factor which initiates preinitiation complex assembly through direct interaction with the TATA promoter element. It is a multisubunit complex consisting of a small TATA-binding polypeptide andother TATA-binding protein (TBP)-associated factors (TAFs). Although native TFIID can mediate both activator-independent (basal) and activator-dependent transcription in reconstituted systems, TBP can mediate only basal transcription. TAF II p100 (TBP-associated factor II100), also known as TAF5 or TAFII100, is the third largest subunit of human TFIID. It contains six WD40 repeats at the C-terminus and has an N-terminus capable of forming a flexible dimer. TAF II p100 plays an important role in forming the scaffold that is crucial for the assembly of the TFIID complex. TAF II p100 may also be involved in the stabilization of TAF interactions.
TRUSTED_SUSTAINABILITY
Specifications

Specifications

TAF5
Polyclonal
Unconjugated
TAF5
Transcription initiation factor TFIID subunit 5, Transcription initiation factor TFIID 100 kDa subunit, TAF(II)100, TAFII-100, TAFII100, TAF5, TAF2D
Rabbit
Antigen affinity chromatography
RUO
226182, 6877
-20°C
Liquid
Immunohistochemistry (Paraffin), Western Blot
1 mg/mL
Dulbecco′s PBS with 150mM NaCl, 50% glycerol and 0.02% sodium azide; pH 7.4
Q15542, Q8C092
TAF5
A synthetic peptide derived from the internal region of human TAF5
100 μg
Primary
Human, Mouse
Antibody
IgG
Product Suggestions

Product Suggestions

Videos
Safety and Handling

Safety and Handling

WARNING: Cancer - www.P65Warnings.ca.gov
SDS
Documents

Documents

Product Certifications
Promotions

Promotions

Product Content Correction

Your input is important to us. Please complete this form to provide feedback related to the content on this product.

Product Title

By clicking Submit, you acknowledge that you may be contacted by Fisher Scientific in regards to the feedback you have provided in this form. We will not share your information for any other purposes. All contact information provided shall also be maintained in accordance with our Privacy Policy.

Your feedback has been submitted: Thank you for helping us improve our website.