Promotional price valid on web orders only. Your contract pricing may differ. Interested in signing up for a dedicated account number?
Learn More
Learn More
Invitrogen™ Tara Polyclonal Antibody

Rabbit Polyclonal Antibody
Supplier: Invitrogen™ PA551998
Description
Immunogen sequence: EIGALMRQAE EREHTLRRCQ QEGQELLRHN QELHGRLSEE IDQLRGFIAS QGMGNGCGRS NERSSCELEV LLRVKENELQ YLKKEVQCLR DELQMMQKDK RFTSGKYQDV YVELSHIKTR SEREIEQLKE HLRL Highest antigen sequence identity to the following orthologs: Mouse - 92%, Rat - 91%.
This gene encodes a protein with an N-terminal pleckstrin homology domain and a C-terminal coiled-coil region. The protein interacts with trio, which is involved with neural tissue development and controlling actin cytoskeleton organization, cell motility and cell growth. The protein also associates with F-actin and stabilizes F-actin structures. Mutations in this gene have been associated with a form of autosomal recessive nonsyndromic deafness. Multiple alternatively spliced transcript variants that would encode different isoforms have been found for this gene, however some transcripts may be subject to nonsense-mediated decay (NMD).
Specifications
Tara | |
Polyclonal | |
Unconjugated | |
TRIOBP | |
AI428493; DFNB28; dJ37E16.4; EST478828; HRIHFB2122; Kiaa1662; mKIAA1662; protein Tara; TAP68; TARA; tara-like protein; TRIO and F-actin binding protein; TRIO and F-actin-binding protein; Trio-associated repeat on actin; TRIOBP | |
Rabbit | |
Antigen affinity chromatography | |
RUO | |
11078 | |
Store at 4°C short term. For long term storage, store at -20°C, avoiding freeze/thaw cycles. | |
Liquid |
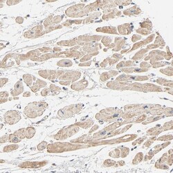
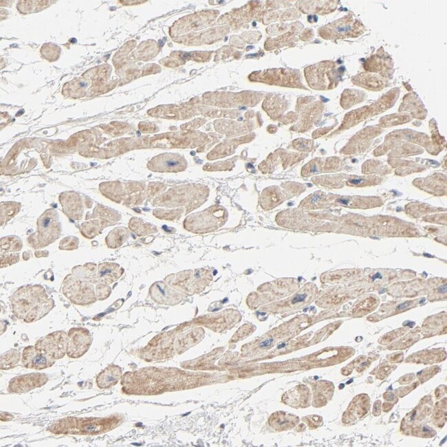
Immunohistochemistry (Paraffin), Western Blot | |
0.1 mg/mL | |
PBS with 40% glycerol and 0.02% sodium azide; pH 7.2 | |
Q9H2D6 | |
TRIOBP | |
Recombinant protein corresponding to Human Tara. Recombinant protein control fragment (Product #RP-91495). | |
100 μL | |
Primary | |
Human | |
Antibody | |
IgG |
Product Content Correction
Your input is important to us. Please complete this form to provide feedback related to the content on this product.
Product Title
Spot an opportunity for improvement?Share a Content Correction