Promotional price valid on web orders only. Your contract pricing may differ. Interested in signing up for a dedicated account number?
Learn More
Learn More
Invitrogen™ TARC Polyclonal Antibody

Rabbit Polyclonal Antibody
Supplier: Invitrogen™ PA534515
Description
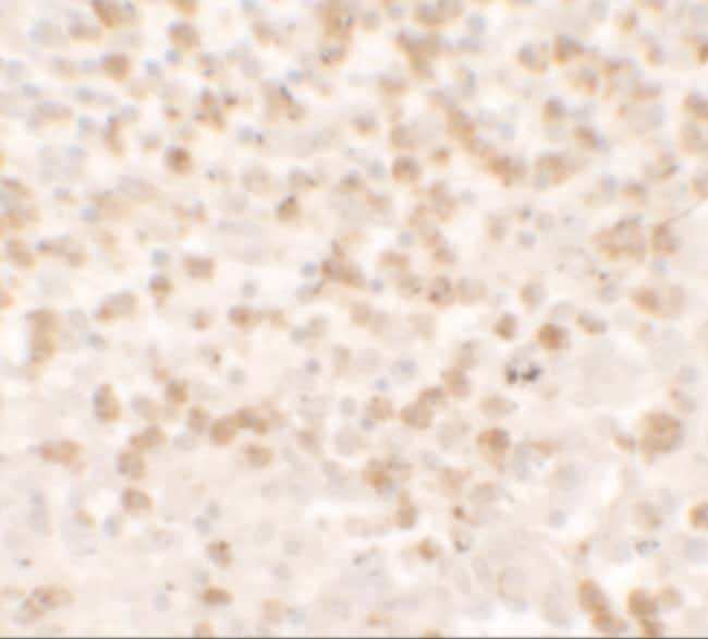
A suggested positive control is rat spleen tissue lysate. PA5-34515 can be used with blocking peptide PEP-1558.
TARC ligand (CCL17) belongs to the CC chemokine family. It is a small cytokine and the gene is located on q arm of chromosome 16, in humans, along with other chemokines. TARC specifically binds to T-cells and interacts with chemokine receptors CCR4 and CCR8. It plays an important role in T cell development in thymus as well as in trafficking and activation of mature T cells.
Specifications
TARC | |
Polyclonal | |
Unconjugated | |
CCL17 | |
A-152E5.3; ABCD-2; CC chemokine TARC; C-C motif chemokine; C-C motif chemokine 17; C-C motif chemokine ligand 17; CCL17; chemokine (C-C motif) ligand 17; SCYA17; Scya17l; small inducible cytokine subfamily A (Cys-Cys), member 17; small inducible cytokine subfamily A17; small-inducible cytokine A17; T cell-directed CC chemokine; TARC; Thymus and activation-regulated chemokine | |
Rabbit | |
Antigen affinity chromatography | |
RUO | |
117518, 20295, 6361 | |
Maintain refrigerated at 2-8°C for up to 3 months. For long term storage store at -20°C | |
Liquid |
Immunohistochemistry, Western Blot | |
1 mg/mL | |
PBS with 0.02% sodium azide | |
Q92583 | |
CCL17 | |
A 16 amino acid peptide near the carboxy terminus of human CCL17. | |
100 μg | |
Primary | |
Human, Mouse, Rat | |
Antibody | |
IgG |
Safety and Handling
WARNING: Cancer - www.P65Warnings.ca.gov
Product Content Correction
Your input is important to us. Please complete this form to provide feedback related to the content on this product.
Product Title
Spot an opportunity for improvement?Share a Content Correction