Promotional price valid on web orders only. Your contract pricing may differ. Interested in signing up for a dedicated account number?
Learn More
Learn More
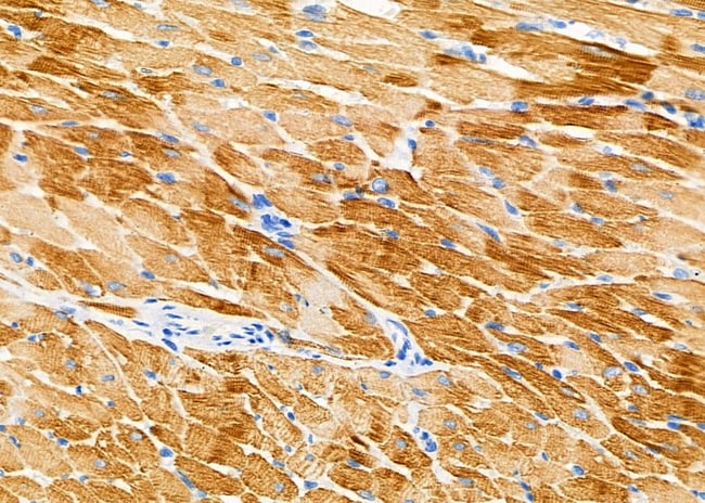
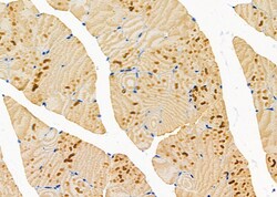
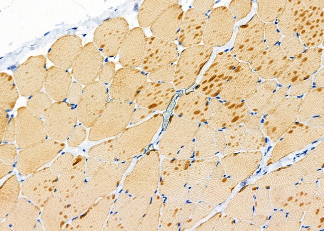
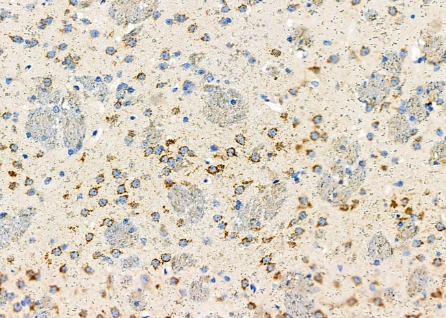
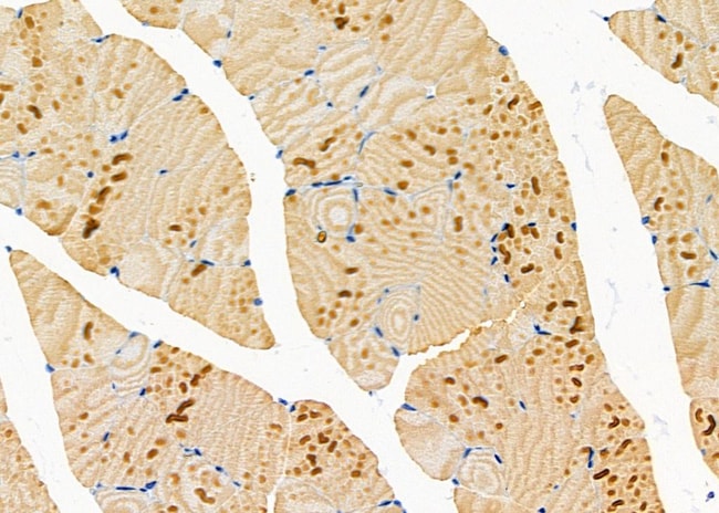
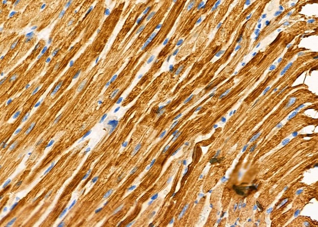
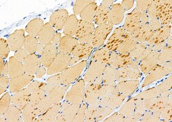
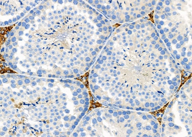
Invitrogen™ TAS2R50 Polyclonal Antibody

Rabbit Polyclonal Antibody
Supplier: Invitrogen™ PA5104306
Description
Antibody detects endogenous levels of total TAS2R50.
TAS2R50 belongs to the large TAS2R receptor family. TAS2Rs are expressed on the surface of taste receptor cells and mediate the perception of bitterness through a G protein-coupled second messenger pathway. Receptor that may play a role in the perception of bitterness and is gustducin-linked. May play a role in sensing the chemical composition of the gastrointestinal content. The activity of this receptor may stimulate alpha gustducin, mediate PLC-beta-2 activation and lead to the gating of TRPM5. Expressed in subsets of taste receptor cells of the tongue and exclusively in gustducin-positive cells. Most taste cells may be activated by a limited number of bitter compounds; individual taste cells can discriminate among bitter stimuli.
Specifications
| TAS2R50 | |
| Polyclonal | |
| Unconjugated | |
| TAS2R50 | |
| MGC138305; T2R50; T2R51; TAS2R50; TAS2R51; taste 2 receptor member 50; taste receptor type 2 member 50; Taste receptor type 2 member 51; taste receptor, type 2, member 50 | |
| Rabbit | |
| Affinity chromatography | |
| RUO | |
| 259296 | |
| -20°C | |
| Liquid |
| Immunohistochemistry (Paraffin), Western Blot | |
| 1 mg/mL | |
| PBS with 50% glycerol and 0.02% sodium azide; pH 7.4 | |
| P59544 | |
| TAS2R50 | |
| A synthesized peptide derived from human TAS2R50(Accession P59544), corresponding to amino acid residues L190-I240. | |
| 100 μL | |
| Primary | |
| Human, Mouse, Rat | |
| Antibody | |
| IgG |
Safety and Handling
WARNING: Cancer - www.P65Warnings.ca.gov
Product Content Correction
Your input is important to us. Please complete this form to provide feedback related to the content on this product.
Product Title
Spot an opportunity for improvement?Share a Content Correction