Promotional price valid on web orders only. Your contract pricing may differ. Interested in signing up for a dedicated account number?
Learn More

Tau Polyclonal Antibody, Abbomax

Catalog No. 502204519
Encompass_Preferred
Change view
Click to view available options
Quantity:
100 μg
1 product options available for selection
Product selection table with 1 available options. Use arrow keys to navigate and Enter or Space to select.
Catalog No. Quantity
50-220-4519 100 μg
Use arrow keys to navigate between rows. Press Enter or Space to select a product option. 1 options available.
1 options
Catalog No. 50-220-4519 Supplier Abbomax Inc Supplier No. 620740
Only null left
Add to Cart
Add to Cart

Rabbit Polyclonal Antibody

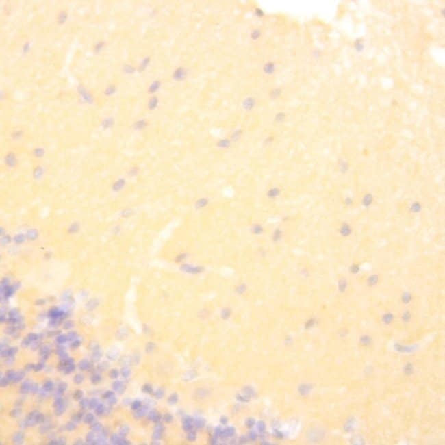
Positive control: Cerebrum tissue. Cellular location: Cytoplasm, cytosol, membrane.

Tau Polyclonal antibody specifically detects Tau in Human, Mouse, Rat samples. It is validated for Immunohistochemistry (Paraffin), Western Blot

Specifications

Antigen Tau
Applications Immunohistochemistry (Paraffin), Western Blot
Classification Polyclonal
Concentration 0.5 mg/mL
Conjugate Unconjugated
Formulation PBS with proprietary stabilizer and 0.01% sodium azide
Gene MAPT
Gene Accession No. P10636, P10637, P19332
Gene Alias AI413597; AW045860; DDPAC; FLJ31424; FTDP17; FTDP-17; G protein beta1/gamma2 subunit-interacting factor 1; map tau; Mapt; MAPTL; MGC138549; microtubule associated protein tau; microtubule-associated protein tau; microtubule-associated protein tau, isoform 4; microtubules; MSTD; Mtapt; MTBT1; MTBT2; Neurofibrillary tangle protein; neurofibrillary tangles; Neuronal Marker; paired helical filament-tau; PHFtau; PHF-tau; PPND; PPP1R103; protein phosphatase 1, regulatory subunit 103; pTau; RNPTAU; Tau; Tau microtubule-associated protein; tau protein; Tau-4; Tau5; Unknown (protein for MGC:134287)
Host Species Rabbit
Immunogen A synthetic peptide surrounding of SNVS-S-TGSI of human Tau protein
Purification Method Antigen affinity chromatography
Quantity 100 μg
Regulatory Status RUO
Primary or Secondary Primary
Gene ID (Entrez) 17762, 29477, 4137
Target Species Human, Mouse, Rat
Content And Storage Store at 4°C short term. For long term storage, store at -20°C, avoiding freeze/thaw cycles.
Product Type Antibody
Form Liquid
Isotype IgG
Show More Show Less
Product Title
Select an issue

By clicking Submit, you acknowledge that you may be contacted by Fisher Scientific in regards to the feedback you have provided in this form. We will not share your information for any other purposes. All contact information provided shall also be maintained in accordance with our Privacy Policy.