Promotional price valid on web orders only. Your contract pricing may differ. Interested in signing up for a dedicated account number?
                
Learn More
Learn More
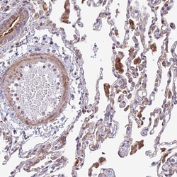
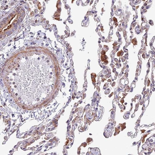
                                    Invitrogen™ TBC1D20 Polyclonal Antibody
 
                                    
                                    
                                    
                                    
                                
                            
                            
                            
                            
Rabbit Polyclonal Antibody
Supplier: Invitrogen™ PA560437
Description
Immunogen sequence: IHQALNSDPT DVAALRRMAI SEGGLLTDEI RRKVWPKLLN VNANDPPPIS GKNLRQMSKD YQQVLLDVRR SLRRFPPGM Highest antigen sequence identity to the following orthologs: Mouse - 86%, Rat - 89%.
GTPase-activating protein specific for Rab1 and Rab2 small GTPase families for which it can accelerate the intrinsic GTP hydrolysis rate by more than five orders of magnitude. 
            Specifications
| TBC1D20 | |
| Polyclonal | |
| Unconjugated | |
| TBC1D20 | |
| 1110028I04Rik; 2810442O16Rik; AI414693; C20orf140; TBC1 domain family member 20; TBC1 domain family, member 20; TBC1D20; WARBM4 | |
| Rabbit | |
| Antigen affinity chromatography | |
| RUO | |
| 128637 | |
| Store at 4°C short term. For long term storage, store at -20°C, avoiding freeze/thaw cycles. | |
| Liquid | 
| Immunohistochemistry (Paraffin) | |
| 0.1 mg/mL | |
| PBS with 40% glycerol and 0.02% sodium azide; pH 7.2 | |
| Q96BZ9 | |
| TBC1D20 | |
| Recombinant protein corresponding to Human TBC1D20. Recombinant protein control fragment (Product #RP-99415). | |
| 100 μL | |
| Primary | |
| Human | |
| Antibody | |
| IgG | 
                    Product Content Correction
                
                Your input is important to us. Please complete this form to provide feedback related to the content on this product.
Product Title
			
            Spot an opportunity for improvement?Share a Content Correction
            