Promotional price valid on web orders only. Your contract pricing may differ. Interested in signing up for a dedicated account number?
Learn More
Learn More
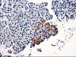
TBC1D21 Monoclonal Antibody (OTI7G10), TrueMAB™, OriGene

Mouse Monoclonal Antibody
Supplier: OriGene TA503763S


Description
TBC1D21 Monoclonal antibody specifically detects TBC1D21 in Human samples. It is validated for Immunohistochemistry (Paraffin), Western BlotSpecifications
TBC1D21 | |
Monoclonal | |
0.49 mg/mL | |
PBS with 1% BSA, 50% glycerol and 0.02% sodium azide | |
Q8IYX1 | |
Mouse | |
Affinity chromatography | |
RUO | |
161514 | |
-20° C, Avoid Freeze/Thaw Cycles | |
IgG1 |
Immunohistochemistry (Paraffin), Western Blot | |
OTI7G10 | |
Unconjugated | |
TBC1D21 | |
male germ cell-specific expressed, containing a RabGAP domain; MgcRabGAP; TBC1 domain family member 21; TBC1 domain family, member 21; TBC1D21 | |
Full length human recombinant protein of human TBC1D21 produced in HEK293T cell. | |
30 μL | |
Primary | |
Human | |
Liquid |
Product Content Correction
The Fisher Scientific Encompass Program offers items which are not part of our distribution portfolio. These products typically do not have pictures or detailed descriptions. However, we are committed to improving your shopping experience. Please use the form below to provide feedback related to the content on this product.
Product Title
Spot an opportunity for improvement?Share a Content Correction