Promotional price valid on web orders only. Your contract pricing may differ. Interested in signing up for a dedicated account number?
Learn More
Learn More
Invitrogen™ TBCC Polyclonal Antibody

Rabbit Polyclonal Antibody
Supplier: Invitrogen™ PA557143
Description
Immunogen sequence: GLQKLINDSV FFLAAYDLRQ GQEALARLQA ALAERRRGLQ PKKRFAFKTR GKDAASSTKV DAAPGIPPAV ESIQDS Highest antigen sequence identity to the following orthologs: Mouse - 64%, Rat - 62%.
Tubulin-folding protein; involved in the final step of the tubulin folding pathway.
Specifications
| TBCC | |
| Polyclonal | |
| Unconjugated | |
| TBCC | |
| 2810055C19Rik; CFC; EGK_14912; Tbcc; tubulin folding cofactor C; tubulin-folding cofactor C; Tubulin-specific chaperone C | |
| Rabbit | |
| Antigen affinity chromatography | |
| RUO | |
| 6903 | |
| Store at 4°C short term. For long term storage, store at -20°C, avoiding freeze/thaw cycles. | |
| Liquid |
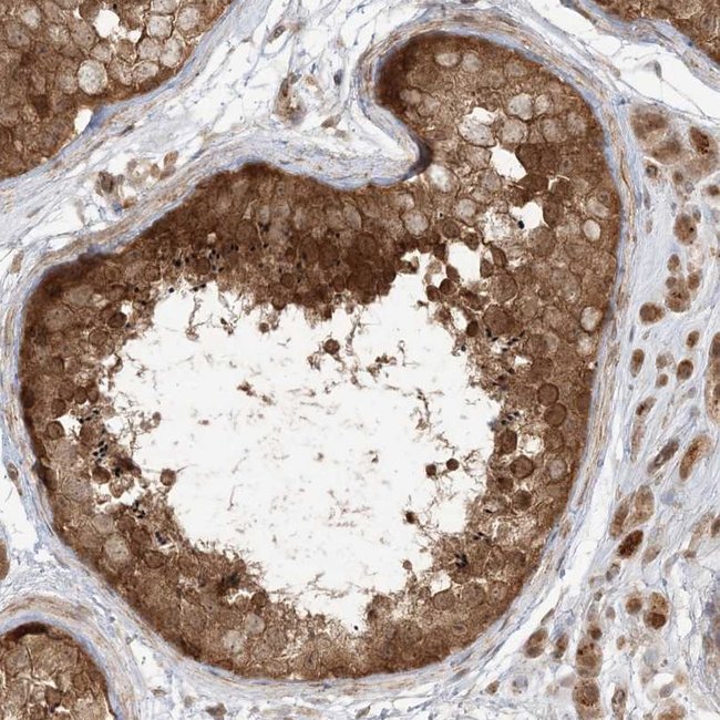
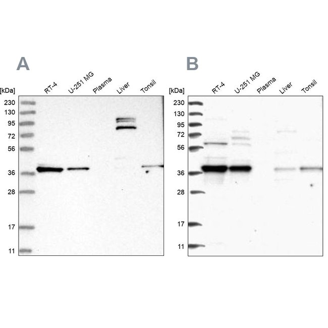
| Immunohistochemistry (Paraffin), Western Blot, Immunocytochemistry | |
| 0.6 mg/mL | |
| PBS with 40% glycerol and 0.02% sodium azide; pH 7.2 | |
| Q15814 | |
| TBCC | |
| Recombinant protein corresponding to Human TBCC. Recombinant protein control fragment (Product #RP-94798). | |
| 100 μL | |
| Primary | |
| Human | |
| Antibody | |
| IgG |
Product Content Correction
Your input is important to us. Please complete this form to provide feedback related to the content on this product.
Product Title
Spot an opportunity for improvement?Share a Content Correction