Promotional price valid on web orders only. Your contract pricing may differ. Interested in signing up for a dedicated account number?
Learn More
Learn More
Invitrogen™ TBCCD1 Polyclonal Antibody

Rabbit Polyclonal Antibody
Supplier: Invitrogen™ PA5120614
This item is not returnable.
View return policy
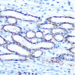
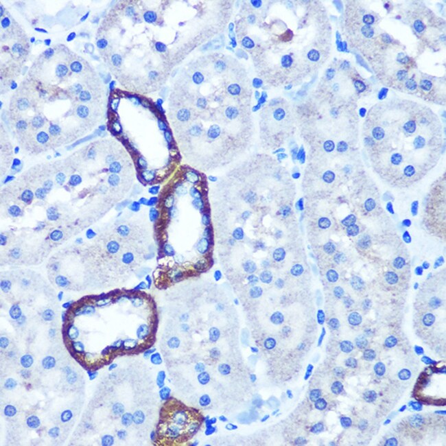
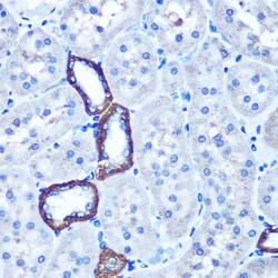
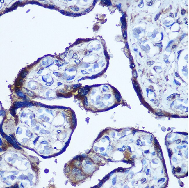
Description
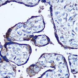
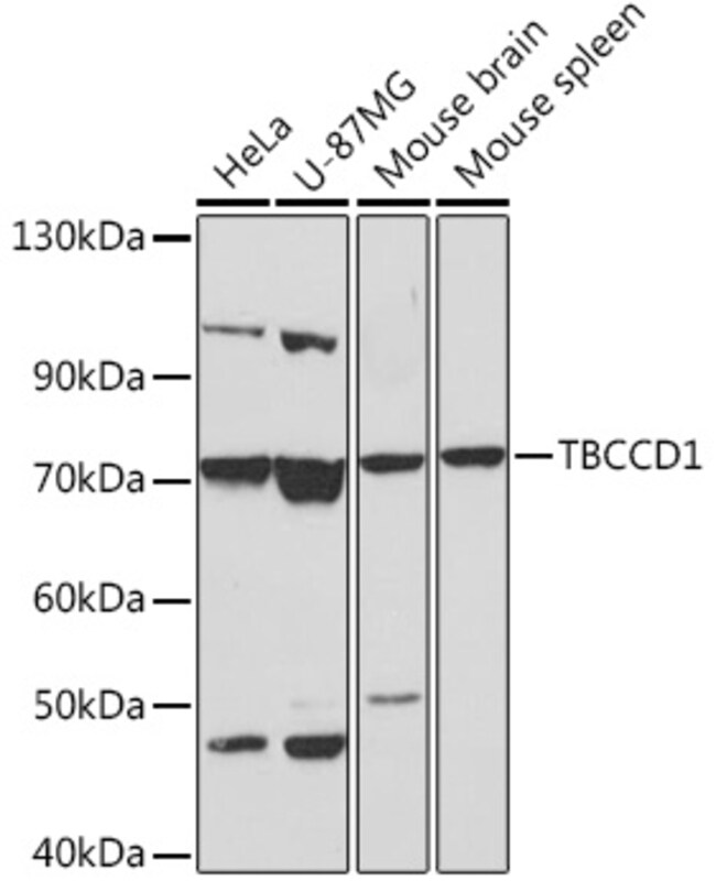
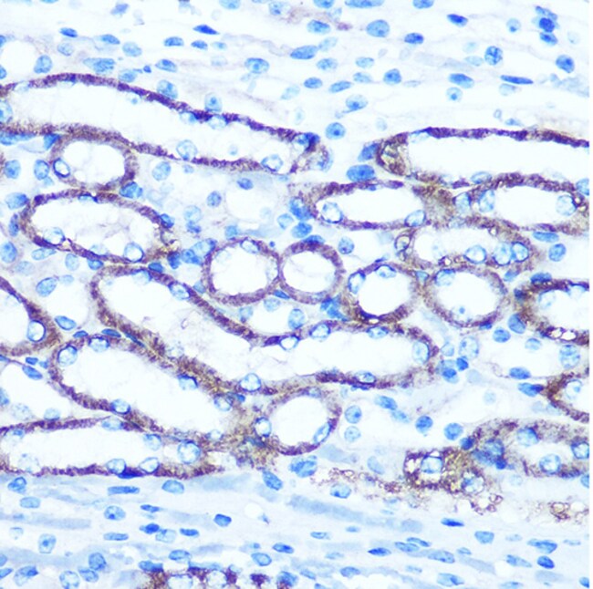
Positive test controls include: HeLa, U-87MG, Mouse brain, Mouse spleen. Immunogen sequence: RVFQLLPPCE FYVFIIPFEM EGDTTEIPGG LPSVYQKALG QREQKIQIWQ KTVKEAHLTK DQRKQFQVLV ENKFYEWLIN TGHRQQLDSL VPPAAGSKQA AG.
The function of TBCCD1 remains unknown.
Specifications
TBCCD1 | |
Polyclonal | |
Unconjugated | |
TBCCD1 | |
5730478M09Rik; AU015083; BB165076; TBCC domain containing 1; TBCC domain-containing protein 1; Tbccd1 | |
Rabbit | |
Affinity Chromatography | |
RUO | |
303830, 55171, 70573 | |
-20°C, Avoid Freeze/Thaw Cycles | |
Liquid |
ELISA, Immunohistochemistry (Paraffin), Western Blot | |
2.11 mg/mL | |
PBS with 50% glycerol and 0.01% thimerosal; pH 7.3 | |
Q5FVR8, Q640P7, Q9NVR7 | |
TBCCD1 | |
A synthetic peptide corresponding to a sequence within amino acids 456-557 of human TBCCD1 (NP_0606081). | |
100 μL | |
Primary | |
Human, Mouse, Rat | |
Antibody | |
IgG |
Product Content Correction
Your input is important to us. Please complete this form to provide feedback related to the content on this product.
Product Title
Spot an opportunity for improvement?Share a Content Correction