Promotional price valid on web orders only. Your contract pricing may differ. Interested in signing up for a dedicated account number?
Learn More

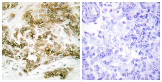
TBX15/TBX18 Polyclonal Antibody, Invitrogen™

Rabbit Polyclonal Antibody

Supplier:  Thermo Scientific PA538563

Catalog No. PIPA538563


Description

Description

T-box transcription factors are a group of phylogenetically conserved genes that contain a uniquely defining DNA-binding domain, the T-box domain. These genes are believed to be involved in the regulation of development processes. In mouse embryo development, Tbx15 is expressed at the beginning of day 9.5, primarily in the craniofacial region and in the developing limbs. Twelve human T-box genes have been isolated so far. TBX 18 has been reported to be involved in numerous development processes and to act as an antiapoptotic factor.
TRUSTED_SUSTAINABILITY
Specifications

Specifications

TBX15/TBX18
Polyclonal
Unconjugated
TBX15
T-box transcription factor TBX18, T-box protein 18, T-box transcription factor TBX15, T-box protein 15
Rabbit
Antigen affinity chromatography
RUO
21384, 6913, 76365, 9096
-20°C
Liquid
Immunocytochemistry, Immunofluorescence, Immunohistochemistry (Paraffin), Western Blot
1 mg/mL
Dulbecco′s PBS with 150mM NaCl, 50% glycerol and 0.02% sodium azide; pH 7.4
O95935, Q96SF7, O70306, Q9EPZ6
TBX15, TBX18
A synthetic peptide derived from the internal region of human TBX15/18
100 μg
Primary
Human, Mouse
Antibody
IgG
Product Suggestions

Product Suggestions

Videos
SDS
Documents

Documents

Product Certifications
Promotions

Promotions

Product Content Correction

Your input is important to us. Please complete this form to provide feedback related to the content on this product.

Product Title

By clicking Submit, you acknowledge that you may be contacted by Fisher Scientific in regards to the feedback you have provided in this form. We will not share your information for any other purposes. All contact information provided shall also be maintained in accordance with our Privacy Policy.

Your feedback has been submitted: Thank you for helping us improve our website.