Promotional price valid on web orders only. Your contract pricing may differ. Interested in signing up for a dedicated account number?
Learn More
Learn More
TBXAS Mouse anti-Human, Rat, Clone: OTI2C1, liquid, TrueMAB™

Mouse Monoclonal Antibody
Supplier: OriGene TA501358

Description
Thromboxane synthase encodes a member of the cytochrome P450 superfamily of enzymes. The cytochrome P450 proteins are monooxygenases which catalyze many reactions involved in drug metabolism and synthesis of cholesterol, steroids and other lipids. However, this protein is considered a member of the cytochrome P450 superfamily on the basis of sequence similarity rather than functional similarity. This endoplasmic reticulum membrane protein catalyzes the conversion of prostglandin H2 to thromboxane A2, a potent vasoconstrictor and inducer of platelet aggregation. The enzyme plays a role in several pathophysiological processes including hemostasis, cardiovascular disease, and stroke. Alternatively spliced transcript variants encoding different isoforms have been found for this gene.Specifications
TBXAS | |
Monoclonal | |
0.86 mg/mL | |
PBS with 1% BSA, 50% glycerol and 0.02% sodium azide | |
P24557, P49430 | |
TBXAS1 | |
Full length human recombit protein of human TBXAS1 produced in HEK293T cell. | |
100 μL | |
Primary | |
Human, Rat | |
Antibody | |
IgG2a |
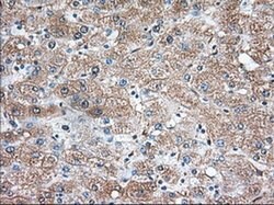
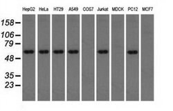
Flow Cytometry, Immunocytochemistry, Immunofluorescence, Immunohistochemistry (Paraffin), Western Blot | |
OTI2C1 | |
Unconjugated | |
TBXAS1 | |
BDPLT14, CYP5, CYP5A1, GHOSAL, THAS, TS, TXAS, TXS | |
Mouse | |
Affinity Chromatography | |
RUO | |
24886, 6916 | |
-20° C, Avoid Freeze/Thaw Cycles | |
Liquid |
Product Content Correction
The Fisher Scientific Encompass Program offers items which are not part of our distribution portfolio. These products typically do not have pictures or detailed descriptions. However, we are committed to improving your shopping experience. Please use the form below to provide feedback related to the content on this product.
Product Title
Spot an opportunity for improvement?Share a Content Correction