Learn More
Invitrogen™ TCP1 Polyclonal Antibody

Description
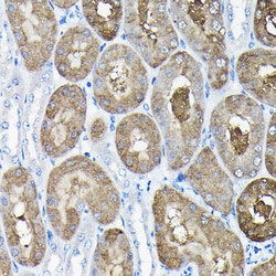
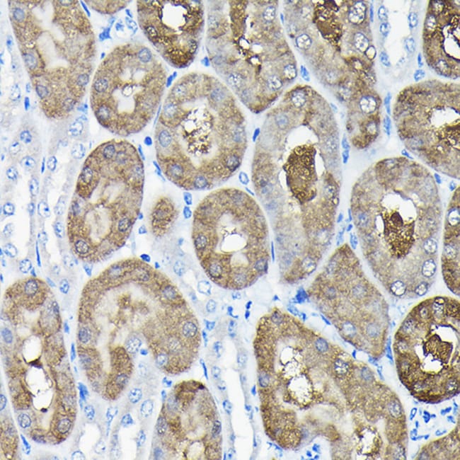
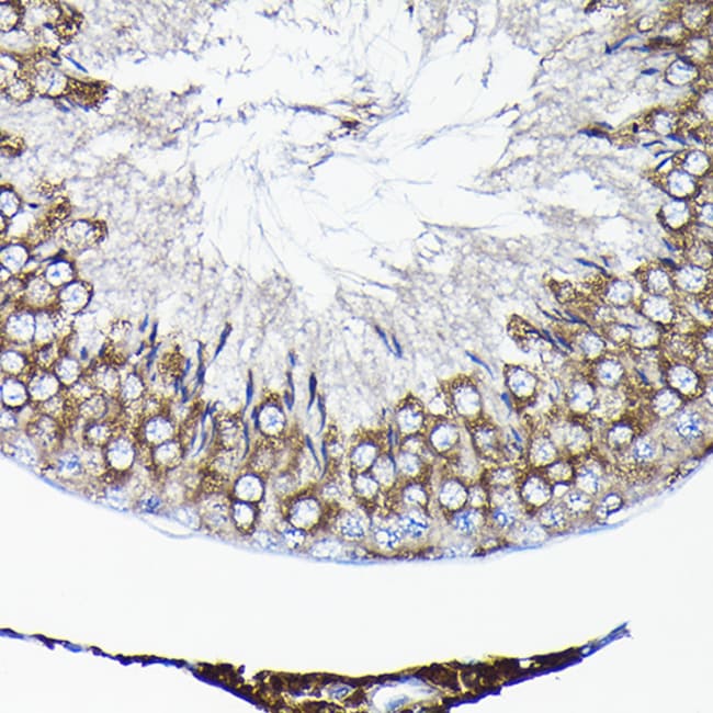
Immunogen sequence: AVRRVLKRDL KRIAKASGAT ILSTLANLEG EETFEAAMLG QAEEVVQERI CDDELILIKN TKARTSASII LRGANDFMCD EMERSLHDAL CVVKRVLESK SVVPGGGAVE AALSIYLENY ATSMGSREQL AIAEFARSLL VIPNTLAVNA AQDSTDLVAK LRAFHNEAQV NPERKNLKWI GLDLSNGKPR DNKQAGVFEP TIVKVKSLKF ATEAAITILR IDDLIKLHPE SKDDKHGSYE DAVHSGALND; Positive Samples: U-251MG, 293T, PC-3, Jurkat; Cellular Location: Cytoplasm, centrosome, cytoskeleton, microtubule organizing center.
Specifications
Specifications
| Antigen | TCP1 |
| Applications | ELISA, Immunohistochemistry (Paraffin), Western Blot |
| Classification | Polyclonal |
| Concentration | 0.48 mg/mL |
| Conjugate | Unconjugated |
| Formulation | PBS with 50% glycerol and 0.02% sodium azide; pH 7.3 |
| Gene | TCP1 |
| Gene Accession No. | P11983, P17987, P28480 |
| Gene Alias | 65 kDa antigen; AI528772; c-cpn; CCT; Cct1; Ccta; CCTalpha; CCT-alpha; chaperonin-containing T-complex alpha subunit TCP1; chaperonin-containing T-complex polypeptide alpha subunit; cytosolic chaperonin containing t-complex polypeptide 1; D6S230E; hypothetical protein; p63; tailless complex polypeptide 1; tailless complex polypeptide 1A; Tailless complex polypeptide 1B; t-complex 1; t-complex polypeptide 1; t-complex protein 1; T-complex protein 1 alpha subunit-like protein; T-complex protein 1 subunit alpha; T-complex protein 1 subunit alpha A; T-complex protein 1 subunit alpha B; T-complex protein 1, alpha subunit; Tcp1; Tcp-1; TCP-1-A; TCP-1-alpha; TCP-1-B; Tp63; TRic; Unknown (protein for MGC:133746); YD8142.13; YD8142B.04; YDR212W |
| Gene Symbols | TCP1 |
| Show More |
By clicking Submit, you acknowledge that you may be contacted by Fisher Scientific in regards to the feedback you have provided in this form. We will not share your information for any other purposes. All contact information provided shall also be maintained in accordance with our Privacy Policy.