Promotional price valid on web orders only. Your contract pricing may differ. Interested in signing up for a dedicated account number?
Learn More
Learn More
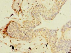
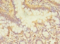
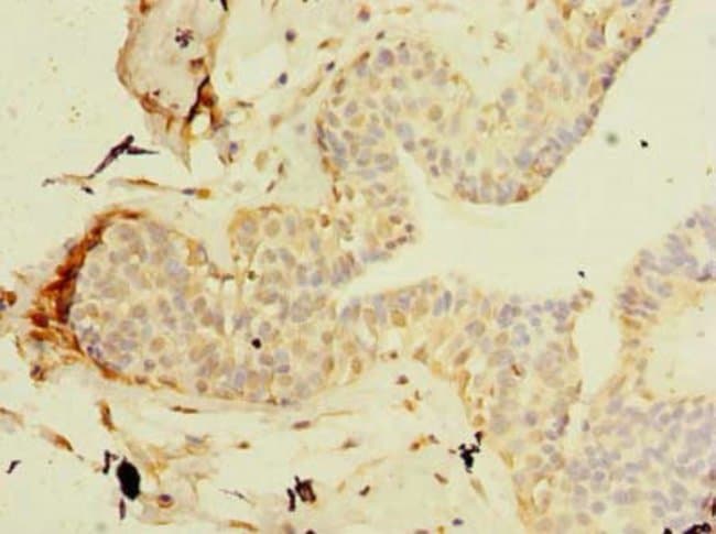
TCP11L2 Polyclonal Antibody

Supplier: Thermo Scientific PA5113246
Description

Specifications
TCP11L2 | |
Polyclonal | |
Unconjugated | |
TCP11L2 | |
t-complex 11 like 2; t-complex 11, testis-specific-like 2; T-complex protein 11-like protein 2; TCP11L2 | |
Rabbit | |
Antigen Affinity Chromatography | |
RUO | |
255394 | |
-20°C or -80°C if preferred | |
Liquid |
ELISA, Immunohistochemistry (Paraffin), Western Blot | |
0.5 mg/mL | |
PBS with 50% glycerol and 0.03% ProClin 300; pH 7.4 | |
Q8N4U5 | |
TCP11L2 | |
Recombinant Human T-complex protein 11-like protein 2 protein (1-210AA). | |
100 μg | |
Primary | |
Human | |
Antibody | |
IgG |
Product Content Correction
Your input is important to us. Please complete this form to provide feedback related to the content on this product.
Product Title
Spot an opportunity for improvement?Share a Content Correction