Promotional price valid on web orders only. Your contract pricing may differ. Interested in signing up for a dedicated account number?
Learn More
Learn More
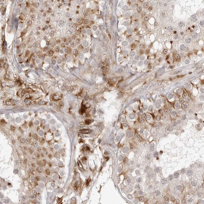
Invitrogen™ TCTEX1D1 Polyclonal Antibody

Rabbit Polyclonal Antibody
Supplier: Invitrogen™ PA555845
Description
Immunogen sequence: MMSDNAKGRA AHSWKKRGSI SSLSNHEFWR KEIHGRIKDS MSTVSYMEEP SQRDDISRLT VQMENTYQLG PPKHFPVVTV NHI Highest antigen sequence identity to the following orthologs: Mouse - 41%, Rat - 34%.
Dyneins are multi-subunit, high molecular weight ATPases that interact with microtubules to generate force by converting the chemical energy of ATP into the mechanical energy of movement. Cytoplasmic or axonemal Dynein is an approximately 12 subunit complex of two heavy chains, two intermediate chains to anchor Dynein to its cargo, four smaller intermediate chains and several light chains. It performs functions necessary for cell survival such as organelle transport and centrosome assembly. TCTEX1 is a cytoplasmic dynein light chain found in a complex with Na+ CP type X (SCN10A). TCTEX1D1, also called TCTEX1 domain containing 1, belongs to the dynein light chain TCTEX-type family. Its function is still under investigation.
Specifications
TCTEX1D1 | |
Polyclonal | |
Unconjugated | |
TCTEX1D1 | |
FLJ40873; MGC125768; Tctex1 domain containing 1; tctex1 domain-containing protein 1; TCTEX1D1 | |
Rabbit | |
Antigen Affinity Chromatography | |
RUO | |
200132 | |
Store at 4°C short term. For long term storage, store at -20°C, avoiding freeze/thaw cycles. | |
Liquid |
Immunohistochemistry (Paraffin), Western Blot | |
0.3 mg/mL | |
PBS with 40% glycerol and 0.02% sodium azide; pH 7.2 | |
Q8N7M0 | |
TCTEX1D1 | |
Recombinant protein corresponding to Human TCTEX1D1. Recombinant protein control fragment (Product #RP-94302). | |
100 μL | |
Primary | |
Human | |
Antibody | |
IgG |
Product Content Correction
Your input is important to us. Please complete this form to provide feedback related to the content on this product.
Product Title
Spot an opportunity for improvement?Share a Content Correction