Promotional price valid on web orders only. Your contract pricing may differ. Interested in signing up for a dedicated account number?
Learn More
Learn More
Invitrogen™ TEK Polyclonal Antibody

Rabbit Polyclonal Antibody
Supplier: Invitrogen™ PA523082
Description
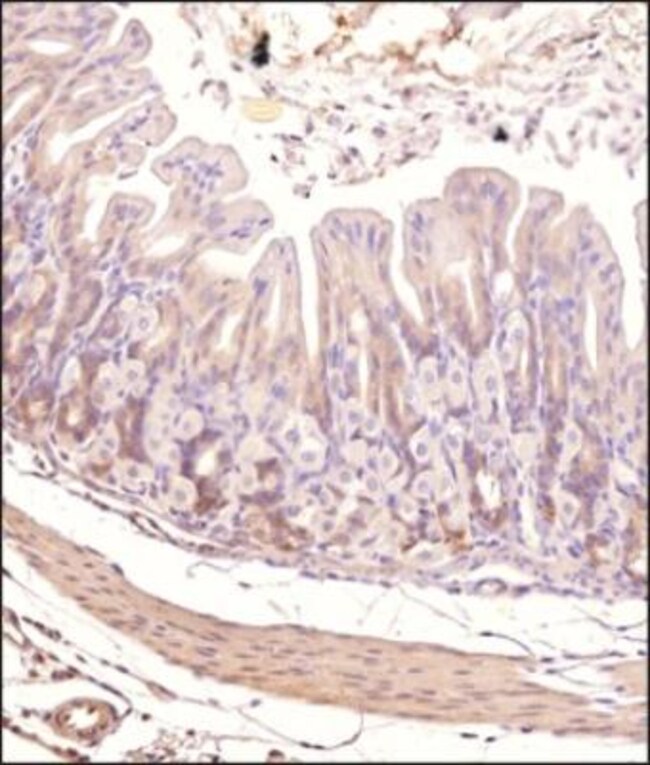
Prior to immunostaining paraffin tissues, antigen retrieval with sodium citrate buffer (pH 6.0) is recommended.
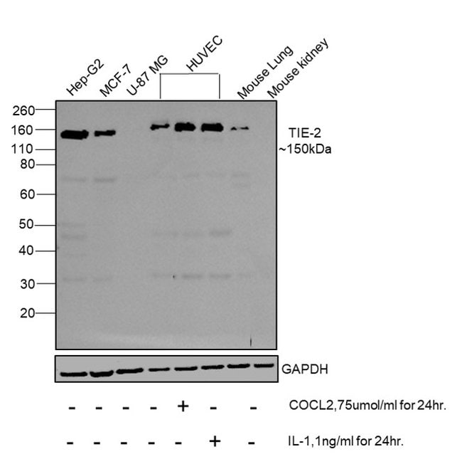
The TEK receptor tyrosine kinase is expressed almost exclusively in endothelial cells. TEK signaling appears to be critical for endothelial cell-smooth muscle cell communication in venous morphogenesis, and defects in TEK are associated with inherited venous malformations. The ligand angiopoietin-1 binds to this receptor and mediates a signaling pathway that functions in embryonic vascular development. Immunoblotting showed that TIE2 expression was increased by thyroid-stimulating hormone and agents that increased intracellular cAMP. HSCs expressing the receptor tyrosine kinase TIE2 are quiescent and antiapoptotic and comprise a side population of HSCs that adhere to osteoblasts in the bone marrow niche.
Specifications
| TEK | |
| Polyclonal | |
| Unconjugated | |
| TEK | |
| AA517024; Angiopoietin-1 receptor; CD202B; CD202b antigen; EC 2.7.10; EC 2.7.10.1; Endothelial tyrosine kinase; endothelial-specific receptor tyrosine kinase; endothelium-specific receptor tyrosine kinase 2; endothelium-specific receptor tyrosine kinase Tie-2; hTIE2; Hyk; mTIE2; p140 TEK; protein-tyrosine kinase Tie2; STK1; Tek; TEK receptor tyrosine kinase; TEK tyrosine kinase, endothelial; TEKT1; Tektin-1; Tie2; tie-2; tunica interna endothelial cell kinase; Tyrosine kinase with Ig and EGF homology domains-2; tyrosine kinases that contain immunoglobulin-like loops and epidermal growth factor-similar domains 2; tyrosine-protein kinase receptor TEK; Tyrosine-protein kinase receptor Tie-2; VMCM; VMCM1 | |
| Rabbit | |
| Antigen affinity chromatography | |
| RUO | |
| 21687, 7010 | |
| Store at 4°C short term. For long term storage, store at -20°C, avoiding freeze/thaw cycles. | |
| Liquid |
| Immunohistochemistry (Paraffin), Western Blot | |
| 1 mg/mL | |
| PBS with 0.05% sodium azide | |
| Q02763, Q02858 | |
| TEK | |
| A genomic peptide made to an internal region of the human TIE2 protein (within residues 250-400). | |
| 100 μL | |
| Primary | |
| Human, Mouse | |
| Antibody | |
| IgG |
Product Content Correction
Your input is important to us. Please complete this form to provide feedback related to the content on this product.
Product Title
Spot an opportunity for improvement?Share a Content Correction