Promotional price valid on web orders only. Your contract pricing may differ. Interested in signing up for a dedicated account number?
Learn More
Learn More
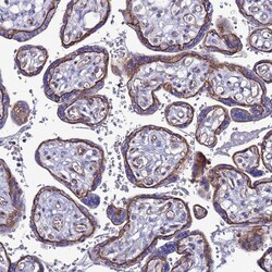
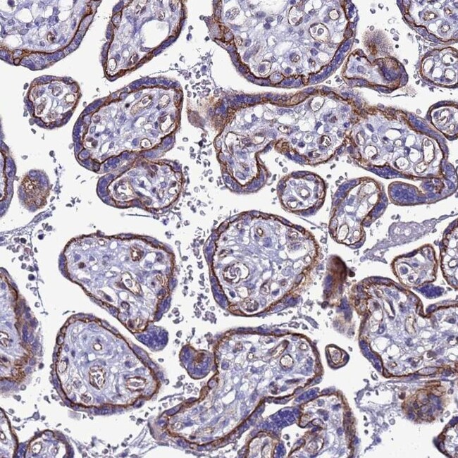
Invitrogen™ TENM3 Polyclonal Antibody

Rabbit Polyclonal Antibody
Supplier: Invitrogen™ PA561411
Description
Immunogen sequence: EPSYELVKSQ QWDDIPPIFG VQQQVARQAK AFLSLGKMAE VQVSRRRAGG AQSWLWFATV KSLIGKGVML AVSQGRVQTN VLN Highest antigen sequence identity to the following orthologs: Mouse - 94%, Rat - 95%.
This protein involved in neural development, regulating the establishment of proper connectivity within the nervous system. It promotes axon guidance and homophilic cell adhesion. And it plays a role in the development of the visual pathway; regulates the formation in ipsilateral retinal mapping to both the dorsal lateral geniculate nucleus (dLGN) and the superior colliculus (SC). May be involved in the differentiation of the fibroblast-like cells in the superficial layer of mandibular condylar cartilage into chondrocytes.
Specifications
TENM3 | |
Polyclonal | |
Unconjugated | |
TENM3 | |
2610100B16Rik; FLJ10474; FLJ10886; KIAA1455; MCOPCB9; mKIAA1455; odd Oz/ten-m homolog 3; odz, odd Oz/ten-m homolog 3; Odz1; Odz3; ODZ3-like protein; protein Odd Oz/ten-m homolog 3; Ten-3; Tenascin-M3; teneurin transmembrane protein 3; Teneurin-3; TENM3; Ten-m3; testicular tissue protein Li 195; TNM3 | |
Rabbit | |
Antigen affinity chromatography | |
RUO | |
55714 | |
Store at 4°C short term. For long term storage, store at -20°C, avoiding freeze/thaw cycles. | |
Liquid |
Immunohistochemistry (Paraffin), Western Blot, Immunocytochemistry | |
0.1 mg/mL | |
PBS with 40% glycerol and 0.02% sodium azide; pH 7.2 | |
Q9P273 | |
TENM3 | |
Recombinant protein corresponding to Human TENM3. Recombinant protein control fragment (Product #RP-100473). | |
100 μL | |
Primary | |
Human | |
Antibody | |
IgG |
Product Content Correction
Your input is important to us. Please complete this form to provide feedback related to the content on this product.
Product Title
Spot an opportunity for improvement?Share a Content Correction