Promotional price valid on web orders only. Your contract pricing may differ. Interested in signing up for a dedicated account number?
Learn More
Learn More
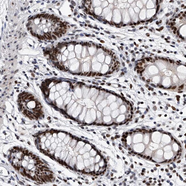
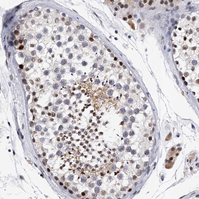
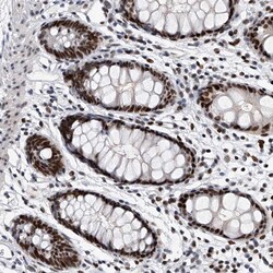
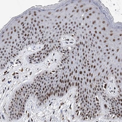
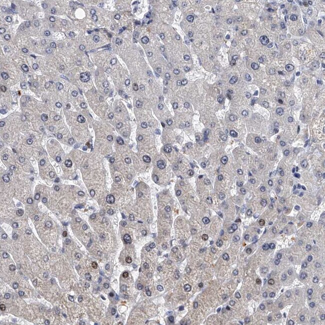
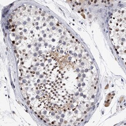
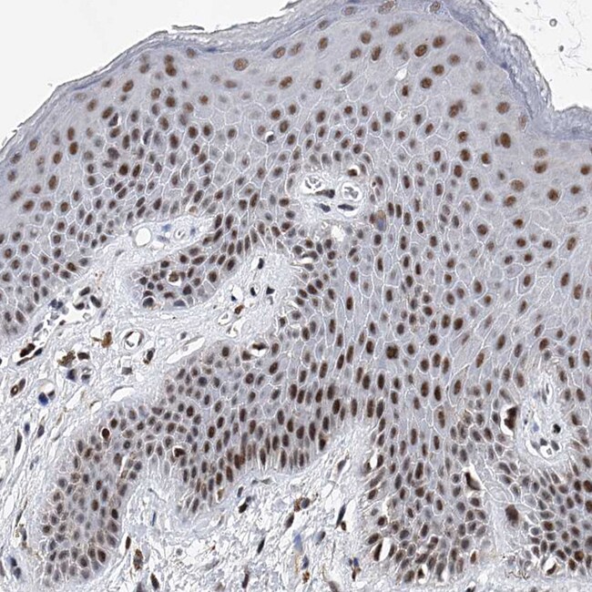
Invitrogen™ TESK2 Polyclonal Antibody

Rabbit Polyclonal Antibody
Supplier: Invitrogen™ PA555558
Description
Immunogen sequence: TLEEILSRLQ EEEQERDRKL QPTARGLLEK APGVKRLSSL DDKIPHKSPC PRRTIWLSRS QSDIFSRKPP RTVSVLDPYY RPRDGAARTP KVNPFSARQD LMGGKIKFFD LPSKSVISLV F Highest antigen sequence identity to the following orthologs: Mouse - 88%, Rat - 90%.
TESK2 or testis-specific kinase 2 is a serine/threonine protein kinase that contains an N-terminal protein kinase domain and belongs to the TESK subgroup of the LIMK/TESK family of protein kinases. The kinase domain of TESK2 is structurally similar to the kinase domain of testis-specific protein kinase-1 and the LIM motif-containing protein kinases (LIMKs). TESK2 is predominantly expressed in testis and prostate and plays an important role in spermatogenesis. TESK2 phosphorylates cofilin specifically at Ser-3 and induces formation of actin stress fibers and focal adhesions.
Specifications
| TESK2 | |
| Polyclonal | |
| Unconjugated | |
| TESK2 | |
| dual specificity testis-specific protein kinase 2; TESK2; Testicular protein kinase 2; testis-specific kinase 2 | |
| Rabbit | |
| Antigen affinity chromatography | |
| RUO | |
| 10420 | |
| Store at 4°C short term. For long term storage, store at -20°C, avoiding freeze/thaw cycles. | |
| Liquid |
| Immunohistochemistry (Paraffin), Immunocytochemistry | |
| 0.60 mg/mL | |
| PBS with 40% glycerol and 0.02% sodium azide; pH 7.2 | |
| Q96S53 | |
| TESK2 | |
| Recombinant protein corresponding to Human TESK2. Recombinant protein control fragment (Product #RP-89769). | |
| 100 μL | |
| Primary | |
| Human | |
| Antibody | |
| IgG |
Safety and Handling
WARNING: Cancer - www.P65Warnings.ca.gov
Product Content Correction
Your input is important to us. Please complete this form to provide feedback related to the content on this product.
Product Title
Spot an opportunity for improvement?Share a Content Correction