Promotional price valid on web orders only. Your contract pricing may differ. Interested in signing up for a dedicated account number?
Learn More
Learn More
Invitrogen™ TET1 Polyclonal Antibody

Rabbit Polyclonal Antibody
Supplier: Invitrogen™ PA5120326
This item is not returnable.
View return policy
Description
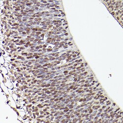
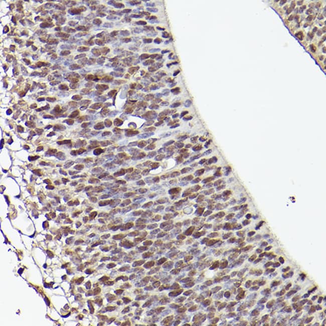
Positive test controls include: Neuro-2a, Rat heart. The target is usually found in the following locations: Nucleus. Immunogen sequence: TLGSNTETVQ PEVKSETEPH FILKSSDNTK TYSLMPSAPH PVKEASPGFS WSPKTASATP APLKNDATAS CGFSERSSTP HCTMPSGRLS GANAAAADGP G.
Dioxygenase that specifically binds methylcytosine (5mC), a minor base in mammalian DNA found in repetitive DNA elements that is crucial for retrotransposon silencing and mammalian development. Catalyzes the conversion of methylcytosine (5mC) to 5-hydroxymethylcytosine (hmC). The clear function of 5-hydroxymethylcytosine (hmC) is still unclear but it may influence chromatin structure and recruit specific factors or may constitute an intermediate component in cytosine demethylation. 5-hydroxymethylcytosine (hmC) is present in ES cells and is enriched in the brain, especially in Purkinje neurons. May play a role in the fetal development of heart, lung and brain.
Specifications
| TET1 | |
| Polyclonal | |
| Unconjugated | |
| TET1 | |
| 2510010B09Rik; AA517754; bA119F7.1; BB001228; CXXC finger 6; CXXC zinc finger 6; CXXC6; CXXC-type zinc finger protein 6; D10Ertd17e; KIAA1676; LCX; leukemia-associated protein with a CXXC domain; Methylcytosine dioxygenase TET1; mKIAA1676; MLL-TET1; RP11-119F7.1; Ten-eleven translocation 1 gene protein; ten-eleven translocation 1 gene protein homolog; ten-eleven translocation-1; tet methylcytosine dioxygenase 1; tet oncogene 1; Tet1; TET1 splice variant VP_DE4; TET1 splice variant VP_DE456; TET1-MLL | |
| Rabbit | |
| Affinity chromatography | |
| RUO | |
| 309902, 52463, 80312 | |
| -20°C, Avoid Freeze/Thaw Cycles | |
| Liquid |
| ELISA, Immunohistochemistry (Paraffin), Western Blot, Immunocytochemistry | |
| 2.09 mg/mL | |
| PBS with 50% glycerol and 0.05% ProClin 300; pH 7.3 | |
| Q3URK3, Q8NFU7 | |
| TET1 | |
| A synthetic peptide corresponding to a sequence within amino acids 1800-1900 of human TET1 (NP_0851282). | |
| 100 μL | |
| Primary | |
| Human, Mouse, Rat | |
| Antibody | |
| IgG |
Product Content Correction
Your input is important to us. Please complete this form to provide feedback related to the content on this product.
Product Title
Spot an opportunity for improvement?Share a Content Correction