Learn More
Invitrogen™ Tetranectin Recombinant Rabbit Monoclonal Antibody (JG37-16)

Description
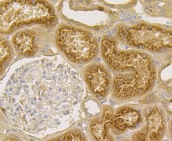
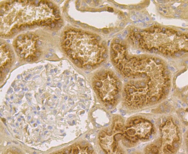
Positive Control: Rat skin tissue lysate, human skin tissue lysate, HepG2, MCF-7, human liver cancer tissue, human kidney tissue.
Specifications
Specifications
| Antigen | Tetranectin |
| Applications | Immunohistochemistry (Paraffin), Immunoprecipitation, Western Blot, Immunocytochemistry |
| Classification | Recombinant Monoclonal |
| Clone | JG37-16 |
| Concentration | 1 mg/mL |
| Conjugate | Unconjugated |
| Formulation | TBS with 0.05% BSA, 40% glycerol and 0.05% sodium azide; pH 7.4 |
| Gene | Clec3b |
| Gene Accession No. | P05452 |
| Gene Alias | CLEC3B; C-type lectin domain family 3 member B; C-type lectin domain family 3, member b; LOC100912012; Plasminogen kringle 4-binding protein; tetranectin; tetranectin (plasminogen binding protein); tetranectin (plasminogen-binding protein); tetranectin-like; TN; TNA |
| Show More |
By clicking Submit, you acknowledge that you may be contacted by Fisher Scientific in regards to the feedback you have provided in this form. We will not share your information for any other purposes. All contact information provided shall also be maintained in accordance with our Privacy Policy.