Promotional price valid on web orders only. Your contract pricing may differ. Interested in signing up for a dedicated account number?
Learn More
Learn More
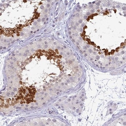
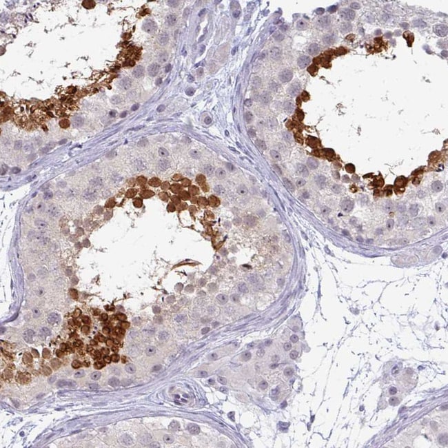
Invitrogen™ TEX33 Polyclonal Antibody

Rabbit Polyclonal Antibody
Supplier: Invitrogen™ PA552238
Description
Immunogen sequence: SSRENRATSG EGAQPCQGTD DGPSLGAQDQ RSTPTNQKGS IIPNNIRHKF GSNVVDQLVS EEQAQKAIDE VFEGQKRASS WPSRTQNPVE ISSVFSDYYD LGYNMRSNLF RGAAEETKSL MKASYTPEVI EKS Highest antigen sequence identity to the following orthologs: Mouse - 65%, Rat - 34%.

Specifications
TEX33 | |
Polyclonal | |
Unconjugated | |
TEX33 | |
C22orf33; cE81G9.2; EAN57; protein EAN57; testis expressed 33; Testis-expressed protein 33; testis-expressed sequence 33 protein; TEX33 | |
Rabbit | |
Antigen affinity chromatography | |
RUO | |
339669 | |
Store at 4°C short term. For long term storage, store at -20°C, avoiding freeze/thaw cycles. | |
Liquid |
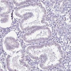
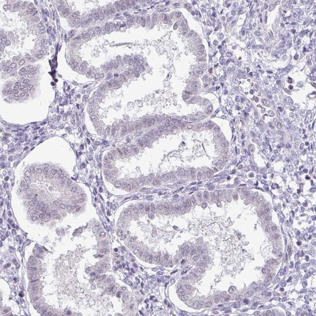
Immunohistochemistry (Paraffin), Western Blot | |
0.10 mg/mL | |
PBS with 40% glycerol and 0.02% sodium azide; pH 7.2 | |
O43247 | |
TEX33 | |
Recombinant protein corresponding to Human TEX33. Recombinant protein control fragment (Product #RP-91333). | |
100 μL | |
Primary | |
Human | |
Antibody | |
IgG |
Product Content Correction
Your input is important to us. Please complete this form to provide feedback related to the content on this product.
Product Title
Spot an opportunity for improvement?Share a Content Correction