Promotional price valid on web orders only. Your contract pricing may differ. Interested in signing up for a dedicated account number?
Learn More
Learn More
Invitrogen™ TFB2M Polyclonal Antibody

Goat Polyclonal Antibody
Supplier: Invitrogen™ PA5142018
This item is not returnable.
View return policy
Description
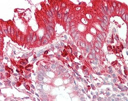
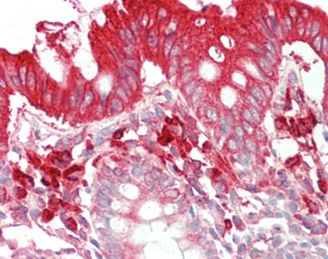
This antibody is tested in Peptide ELISA: antibody detection limit dilution 1:128,000.
S-adenosyl-L-methionine-dependent methyltransferase which specifically dimethylates mitochondrial 12S rRNA at the conserved stem loop. Also required for basal transcription of mitochondrial DNA, probably via its interaction with POLRMT and TFAM. Stimulates transcription independently of the methyltransferase activity. Compared to TFB1M, it activates transcription of mitochondrial DNA more efficiently, while it has less methyltransferase activity.
Specifications
| TFB2M | |
| Polyclonal | |
| Unconjugated | |
| Tfb2m | |
| dimethyladenosine transferase 2, mitochondrial; FLJ22661; FLJ23182; HCV NS5A-transactivated protein 5; Hepatitis C virus NS5A-transactivated protein 5; Hkp1; h-mtTFB; h-mtTFB2; house-keeping protein 1; hTFB2M; mitochondrial 12S rRNA dimethylase 2; Mitochondrial transcription factor B2; mTFB2M; mtTFB2; NS5ATP5; S-adenosylmethionine-6-N', N'-adenosyl(rRNA) dimethyltransferase 2; TFB2M; transcription factor B2, mitochondrial | |
| Goat | |
| Ammonium sulfate precipitation | |
| RUO | |
| 64216 | |
| -20°C, Avoid Freeze/Thaw Cycles | |
| Liquid |
| Immunohistochemistry (Paraffin), Western Blot | |
| 0.5 mg/mL | |
| TBS with 0.5% BSA and 0.02% sodium azide; pH 7.3 | |
| Q9H5Q4 | |
| Tfb2m | |
| Peptide with sequence CAYKWLYDETLEDR. | |
| 100 μg | |
| Primary | |
| Human | |
| Antibody | |
| IgG |
Product Content Correction
Your input is important to us. Please complete this form to provide feedback related to the content on this product.
Product Title
Spot an opportunity for improvement?Share a Content Correction