Promotional price valid on web orders only. Your contract pricing may differ. Interested in signing up for a dedicated account number?
Learn More
Learn More
Invitrogen™ TFF2 Polyclonal Antibody

Rabbit Polyclonal Antibody
Supplier: Invitrogen™ PA580112
Description
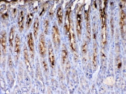
Reconstitute with 0.2 mL of distilled water to yield a concentration of 500 μg/mL. Positive Control - WB: rat gaster tissue, mouse gaster tissue. IHC: rat gaster tissue.
Trefoil peptides are protease resistant molecules secreted throughout the gut that play a role in mucosal healing and protection of the gastrointestinal epithelia. These peptides contain three intrachain disulfide bonds, forming the trefoil motif, or P-domain. SP (spasmolytic polypeptide), also designated Trefoil factor 2 (TFF2) precursor, is a trefoil protein that functions to inhibit gastrointestinal motility and gastric acid secretion. SP may also act as a structural component of the gastric mucus, possibly by stabilizing glycoproteins in the mucus gel through interactions with carbohydrate side chains. A downregulation of SP expression is associated with primary gastric cancer, and a progressive loss of this protein is likely to be involved in the early stage of the multi-step gastric carcinogenesis pathway.
Specifications
TFF2 | |
Polyclonal | |
Unconjugated | |
Tff2 | |
mSP; pancreatic spasmolytic polypeptide; PSP; SML1; SP; spasmolysin; Spasmolytic polypeptide; spasmolytic protein 1; Tff2; Trefoil factor 2; trefoil factor 2 (spasmolytic protein 1) | |
Rabbit | |
Antigen affinity chromatography | |
RUO | |
116592, 21785 | |
-20°C | |
Lyophilized |
ELISA, Immunohistochemistry (Paraffin), Western Blot | |
500 μg/mL | |
PBS with 4mg trehalose and 0.05mg sodium azide | |
Q03404, Q09030 | |
Tff2 | |
E. coli-derived rat TFF2 recombinant protein (Position: E24-Y129). | |
100 μg | |
Primary | |
Mouse, Rat | |
Antibody | |
IgG |
Safety and Handling
WARNING: Cancer - www.P65Warnings.ca.gov
Product Content Correction
Your input is important to us. Please complete this form to provide feedback related to the content on this product.
Product Title
Spot an opportunity for improvement?Share a Content Correction