Promotional price valid on web orders only. Your contract pricing may differ. Interested in signing up for a dedicated account number?
Learn More
Learn More
Invitrogen™ TGF beta-2 Polyclonal Antibody

Rabbit Polyclonal Antibody
Supplier: Invitrogen™ PA580117
Description
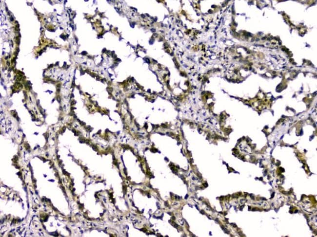
Reconstitute with 0.2 mL of distilled water to yield a concentration of 500 μg/mL. Positive Control - WB: human HCCT tissue, huamn HCCP tissue. IHC: human lung cancer tissue.
Transforming Growth Factor (TGF) betas mediate many cell to cell interactions that occur during embryonic development. Three TGF betas have been identified in mammals. TGF beta 1, TGF beta 2 and TGF beta 3 are each synthesized as precursor proteins that are very similar in that each is cleaved to yield a 112 amino acid polypeptide that remains associated with the latent portion of the molecule. The TGF beta polypeptides are multifunctional; capable of influencing cell proliferation, differentiation, and other functions in a wide range of cell types. Transformed, as well as nonneoplastic tissues, release transforming growth factors; and essentially all mammalian cells possess a specific TGF receptor. The multi modal nature of TGF beta is seen in its ability to stimulate or inhibit cellular proliferation. In general, cells of mesenchymal origin appear to be stimulated by TGF beta whereas cells of epithelial or neuroectodermal origin are inhibited by the peptide. TGF beta 1, TGF beta 2, and TGF beta 1.2 appear to be equivalent in biological activity, although there does appear to be differences in binding to certain types of receptors. TGF beta 2 is produced by many cell types and has been found in the highest concentration in porcine platelets and mammalian bone. Latent TGF beta 2 is the prominent isoform found in body fluids such as amniotic fluid, breast milk, and the aqueous and vitreous humor of the eye.
Specifications
| TGF beta-2 | |
| Polyclonal | |
| Unconjugated | |
| TGFB2 | |
| BB105277; BSC-1 cell growth inhibitor; cetermin; glioblastoma-derived T-cell suppressor factor; G-TSF; LAP; Latency-associated peptide; LDS4; polyergin; prepro-transforming growth factor beta-2; TGF beta 2 protein; TGFB; TGFB2; TGF-B2; Tgfb-2; TGF-beta2; TGF-beta-2; TGFβ2; Transforming growth factor; transforming growth factor beta 2; transforming growth factor beta-2; Transforming growth factor beta-2 proprotein; transforming growth factor, beta 2 | |
| Rabbit | |
| Antigen affinity chromatography | |
| RUO | |
| 7042 | |
| -20°C | |
| Lyophilized |
| Immunohistochemistry (Paraffin), Western Blot | |
| 500 μg/mL | |
| PBS with 4mg trehalose and 0.05mg sodium azide | |
| P61812 | |
| TGFB2 | |
| A synthetic peptide corresponding to a sequence of human TGF beta 2 (ALDAAYCFRNVQDNCCLRPLYIDFKRDLGWKWIHEPK). | |
| 100 μg | |
| Primary | |
| Human | |
| Antibody | |
| IgG |
Safety and Handling
WARNING: Cancer - www.P65Warnings.ca.gov
Product Content Correction
Your input is important to us. Please complete this form to provide feedback related to the content on this product.
Product Title
Spot an opportunity for improvement?Share a Content Correction