Promotional price valid on web orders only. Your contract pricing may differ. Interested in signing up for a dedicated account number?
Learn More
Learn More
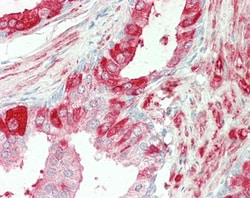
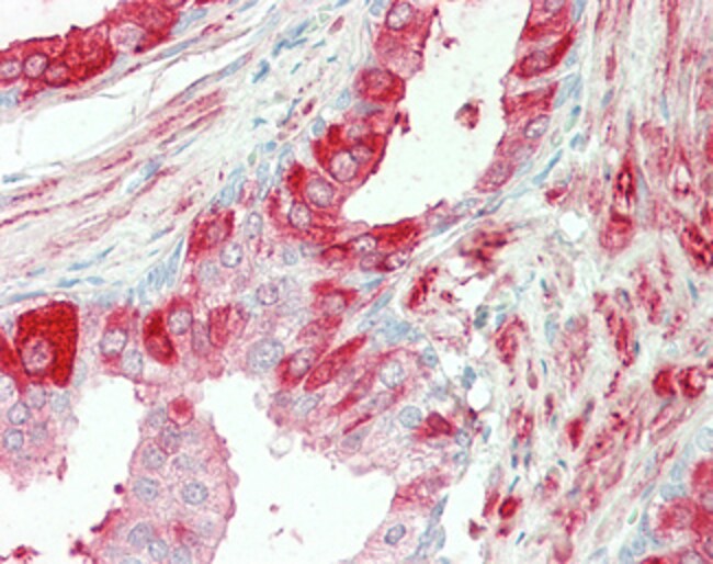
Invitrogen™ TGM4 Polyclonal Antibody

Goat Polyclonal Antibody
Supplier: Invitrogen™ PA537895
Description
This antibody is tested in Peptide ELISA: antibody detection limit dilution 16,000.
TGM4 is associated with the mammalian reproductive process. TGM4 catalyzes the cross-linking of proteins and the conjugation of polyamines to specific proteins in the seminal tract.
Specifications
| TGM4 | |
| Polyclonal | |
| Unconjugated | |
| TGM4 | |
| 9530008N10Rik; Dorsal prostate transglutaminase; dorsal protein 1; DP1; Eapa1; Experimental autoimmune prostatitis antigen 1; fibrinoligase; FLJ26776; hTGP; prostate transglutaminase; Prostate-specific transglutaminase; protein-glutamine gamma-glutamyltransferase 4; TG; TG(P); TGase P; TGase TGase-4; TGase-4; TGM4; TGP; transglutaminase 4; transglutaminase 4 (prostate); transglutaminase P; Transglutaminase-4 | |
| Goat | |
| Ammonium sulfate precipitation | |
| RUO | |
| 7047 | |
| -20°C, Avoid Freeze/Thaw Cycles | |
| Liquid |
| Immunohistochemistry (Paraffin), Western Blot | |
| 0.5 mg/mL | |
| TBS with 0.5% BSA and 0.02% sodium azide; pH 7.3 | |
| P49221 | |
| TGM4 | |
| Peptide with sequence C-NQPLQSYHQLKLEFS, from the internal region near N-terminus of TGM4 (aa49-63). | |
| 100 μg | |
| Primary | |
| Human | |
| Antibody | |
| IgG |
Safety and Handling
WARNING: Cancer - www.P65Warnings.ca.gov
Product Content Correction
Your input is important to us. Please complete this form to provide feedback related to the content on this product.
Product Title
Spot an opportunity for improvement?Share a Content Correction