Promotional price valid on web orders only. Your contract pricing may differ. Interested in signing up for a dedicated account number?
Learn More
Learn More
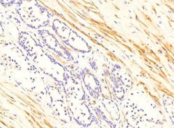
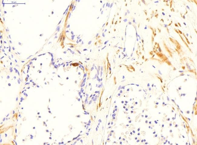
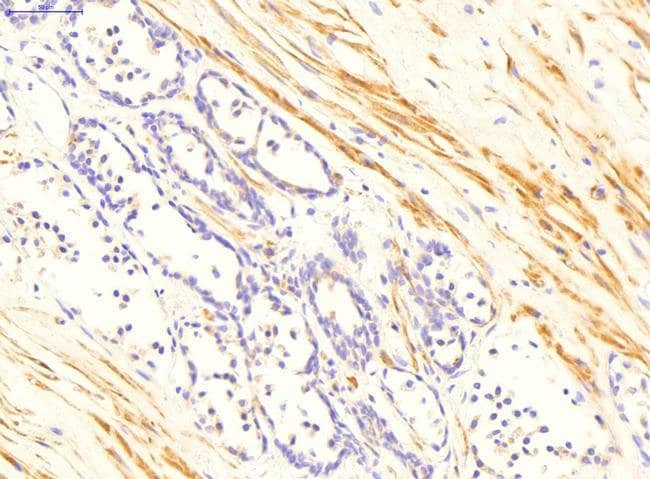
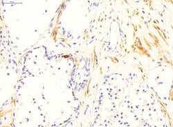
Invitrogen™ TGM4 Polyclonal Antibody

Rabbit Polyclonal Antibody
Supplier: Invitrogen™ PA542106
Description
Peptide sequence: KEDMVFMPDE DERKEYILND TGCHYVGAAR SIKCKPWNFG QFEKNVLDCC Sequence homology: Guinea Pig: 75%; Human: 100%; Mouse: 83%; Rat: 75%; Zebrafish: 82%.
TGM4 is associated with the mammalian reproductive process. TGM4 catalyzes the cross-linking of proteins and the conjugation of polyamines to specific proteins in the seminal tract.
Specifications
| TGM4 | |
| Polyclonal | |
| Unconjugated | |
| TGM4 | |
| 9530008N10Rik; Dorsal prostate transglutaminase; dorsal protein 1; DP1; Eapa1; Experimental autoimmune prostatitis antigen 1; fibrinoligase; FLJ26776; hTGP; prostate transglutaminase; Prostate-specific transglutaminase; protein-glutamine gamma-glutamyltransferase 4; TG; TG(P); TGase P; TGase TGase-4; TGase-4; TGM4; TGP; transglutaminase 4; transglutaminase 4 (prostate); transglutaminase P; Transglutaminase-4 | |
| Rabbit | |
| Affinity Chromatography | |
| RUO | |
| 7047 | |
| -20°C, Avoid Freeze/Thaw Cycles | |
| Liquid |
| Immunohistochemistry, Western Blot | |
| 0.5 mg/mL | |
| PBS with 2% sucrose and 0.09% sodium azide | |
| P49221 | |
| TGM4 | |
| Synthetic peptide directed towards the N-terminal of human TGM4 (aa 143-192). | |
| 100 μL | |
| Primary | |
| Human | |
| Antibody | |
| IgG |
Product Content Correction
Your input is important to us. Please complete this form to provide feedback related to the content on this product.
Product Title
Spot an opportunity for improvement?Share a Content Correction