Promotional price valid on web orders only. Your contract pricing may differ. Interested in signing up for a dedicated account number?
Learn More
Learn More
Invitrogen™ TH1L Polyclonal Antibody

Rabbit Polyclonal Antibody
Supplier: Invitrogen™ PA5113116
Description
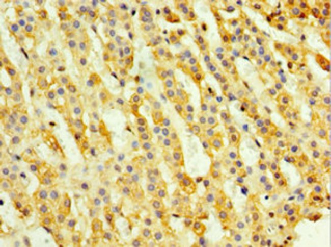
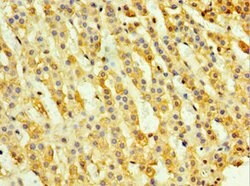
TH1L Polyclonal Antibody for Western Blot, IHC (P), ELISA
The NELF complex of proteins interacts with the DSIF protein complex to repress transcriptional elongation by RNA polymerase II. The protein encoded by this gene is an essential part of the NELF complex. Alternative translation initiation site usage results in the formation of two isoforms with different N-termini.
Specifications
| TH1L | |
| Polyclonal | |
| Unconjugated | |
| NELFCD | |
| 2410003I03Rik; C77797; HSPC130; Negative elongation factor C/D; negative elongation factor complex member C/D; negative elongation factor complex member C/D, Th1l; negative elongation factor complex member C/D,Th1l; negative elongation factor D; negative elongation factor D-like; negative elongation factor proteins C and D; NELF-C; NELF-C/D; NELFCD; Nelfd; NELF-D; TH1; TH1 drosophila homolog; TH1 homolog; TH1L; TH1-like; TH1-like homolog; TH1-like protein; trihydrophobin 1; trihydrophobin 1 homolog; zgc:55482 | |
| Rabbit | |
| Antigen affinity chromatography | |
| RUO | |
| 51497 | |
| -20°C or -80°C if preferred | |
| Liquid |
| ELISA, Immunohistochemistry (Paraffin), Western Blot | |
| 0.67 mg/mL | |
| PBS with 50% glycerol and 0.02% sodium azide; pH 7.3 | |
| Q8IXH7 | |
| NELFCD | |
| Recombinant Human Negative elongation factor C/D protein (346-590AA). | |
| 100 μL | |
| Primary | |
| Human | |
| Antibody | |
| IgG |
Safety and Handling
WARNING: Cancer - www.P65Warnings.ca.gov
Product Content Correction
Your input is important to us. Please complete this form to provide feedback related to the content on this product.
Product Title
Spot an opportunity for improvement?Share a Content Correction