Learn More
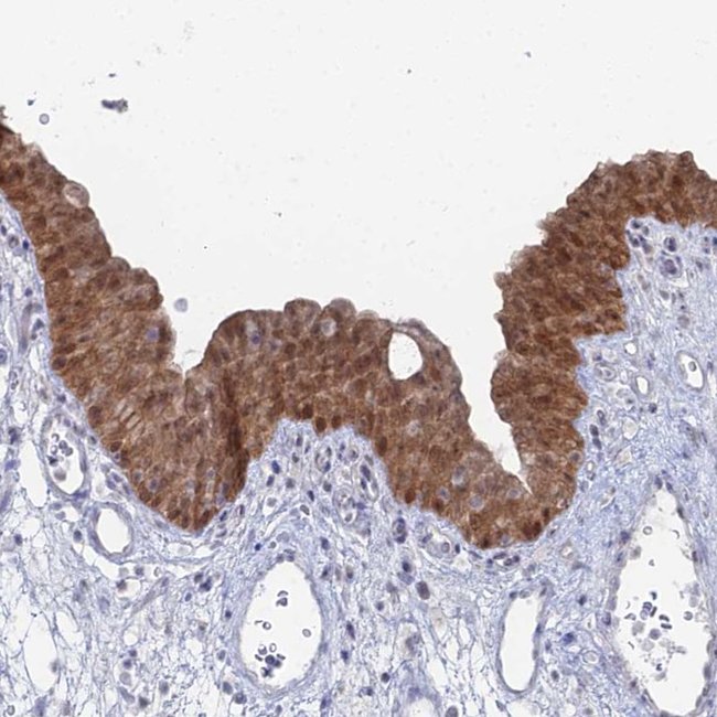
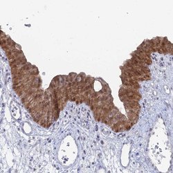
Invitrogen™ THAP4 Polyclonal Antibody

Description
Immunogen sequence: EPLSWMLGTW LSDPPGAGTY PTLQPFQYLE EVHISHVGQP MLNFSFNSFH PDTRKPMHRE CGFIRLKPDT NKVAFVSAQN TGVVEVEEGE VNGQELCIAS HS Highest antigen sequence identity to the following orthologs: Mouse - 93%, Rat - 93%.
Specifications
Specifications
| Antigen | THAP4 |
| Applications | Immunohistochemistry (Paraffin) |
| Classification | Polyclonal |
| Concentration | 0.1 mg/mL |
| Conjugate | Unconjugated |
| Formulation | PBS with 40% glycerol and 0.02% sodium azide; pH 7.2 |
| Gene | THAP4 |
| Gene Accession No. | Q8WY91 |
| Gene Alias | 2010320B01Rik; CGI-36; PP238; THAP domain containing 4; THAP domain-containing protein 4; Thap4 |
| Gene Symbols | THAP4 |
| Show More |
By clicking Submit, you acknowledge that you may be contacted by Fisher Scientific in regards to the feedback you have provided in this form. We will not share your information for any other purposes. All contact information provided shall also be maintained in accordance with our Privacy Policy.