Promotional price valid on web orders only. Your contract pricing may differ. Interested in signing up for a dedicated account number?
Learn More
Learn More
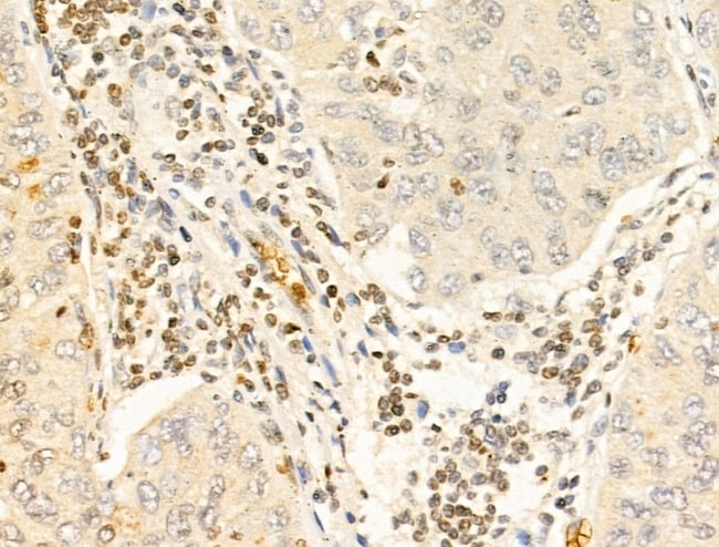
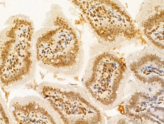
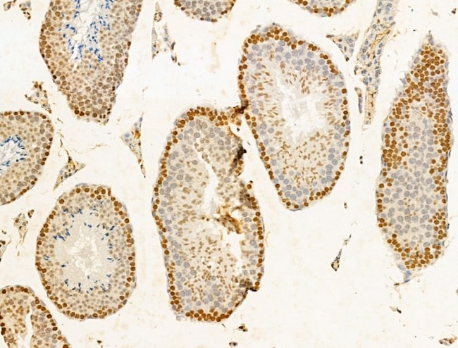
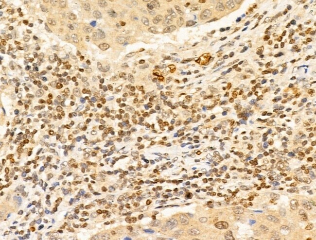
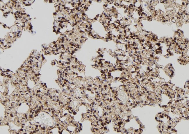
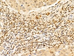
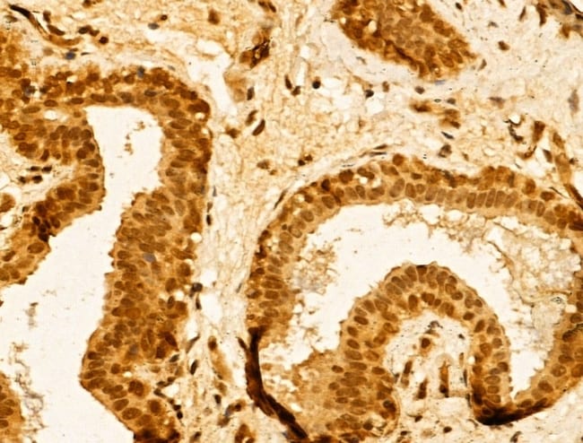
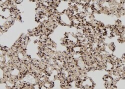
Invitrogen™ TIA-1 Polyclonal Antibody

Rabbit Polyclonal Antibody
Supplier: Invitrogen™ PA5106323
Description
Antibody detects endogenous levels of total TIA1.
Noggin is involved in numerous developmental processes, such as neural tube fusion and joint formation. The morphogenesis of organs is initiated by a downgrowth from a layer of epithelial stem cells. This process is achieved through the receipt of signals from 1) a WNT protein (WNT3A) to stabilize beta-catenin; and 2) Noggin, which is a bone morphogenetic protein inhibitor. Noggin mutations in unrelated families with proximal symphalangism (SYM1) and multiple synostoses syndrome (SYNS1) have been identified, which have multiple joint fusion as their principal defect.
Specifications
| TIA-1 | |
| Polyclonal | |
| Unconjugated | |
| TIA1 | |
| 2310050N03Rik; AI256674; cytotoxic granule-associated RNA binding protein 1; cytotoxic granule-associated RNA-binding protein 1; mTIA-1; Nucleolysin TIA-1; nucleolysin TIA-1 isoform p40; p40 TIA 1; p40-TIA-1; p40-TIA-1 (containing p15-TIA-1); RNA-binding protein TIA-1; T-cell-restricted intracellular antigen-1; Tia; TIA 1; TIA1; TIA-1; TIA1 cytotoxic granule-associated RNA binding protein; TIA1 protein; TIAL1; TIAR; WDM | |
| Rabbit | |
| Affinity Chromatography | |
| RUO | |
| 21841, 312510, 7072 | |
| -20°C | |
| Liquid |
| Immunohistochemistry (Paraffin), Western Blot, Immunocytochemistry | |
| 1 mg/mL | |
| PBS with 50% glycerol and 0.02% sodium azide; pH 7.4 | |
| P31483, P52912 | |
| TIA1 | |
| A synthesized peptide derived from human TIA1(Accession P31483), corresponding to amino acid residues G284-M334. | |
| 100 μL | |
| Primary | |
| Human, Mouse, Rat | |
| Antibody | |
| IgG |
Product Content Correction
Your input is important to us. Please complete this form to provide feedback related to the content on this product.
Product Title
Spot an opportunity for improvement?Share a Content Correction