Learn More
TIA1 Mouse anti-Human, Clone: OTI1C8, lyophilized, TrueMAB™

Mouse Monoclonal Antibody
Supplier: OriGene CF800659
Description
Reconstitute with PBS (pH 7.3) and recommend to perform another round of desalting process using Product No. 7KMWCO
The protein encoded by this gene is a member of a family of RNA-binding proteins, has three RNA recognition motifs , and binds adenine and uridine-rich elements in mRNA and pre-mRNAs of a wide range of genes. It regulates various activities including translational control, splicing and apoptosis. Alternate transcriptional splice variants, encoding different isoforms, have been characterized. The different isoforms have been show to function differently with respect to post-transcriptional silencing.Specifications
| TIA1 | |
| Monoclonal | |
| Unconjugated | |
| TIA1 | |
| TIA-1, WDM | |
| Mouse | |
| Affinity Chromatography | |
| RUO | |
| 7072 | |
| -20° C, Avoid Freeze/Thaw Cycles | |
| Lyophilized |
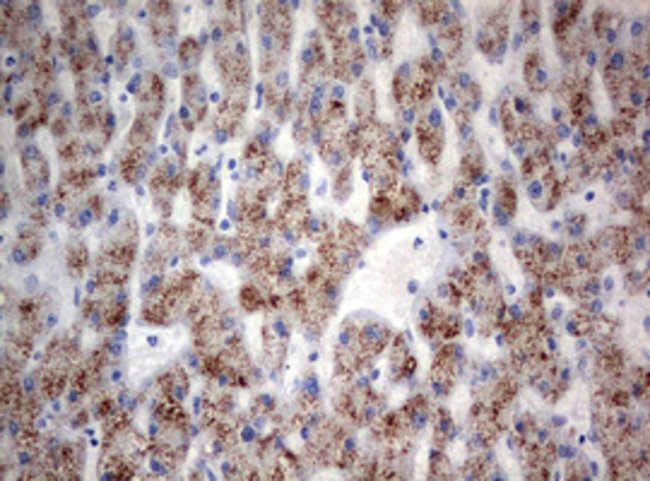
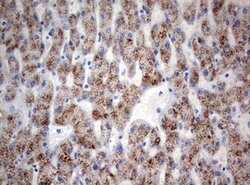
| Immunohistochemistry (Paraffin), Western Blot | |
| OTI1C8 | |
| PBS with 8% trehalose and no preservative; pH 7.3 | |
| P31483 | |
| TIA1 | |
| Full length human recombit protein of human TIA1 produced in HEK293T cell. | |
| 100 μg | |
| Primary | |
| Human | |
| Antibody | |
| IgG1 |
The Fisher Scientific Encompass Program offers items which are not part of our distribution portfolio. These products typically do not have pictures or detailed descriptions. However, we are committed to improving your shopping experience. Please use the form below to provide feedback related to the content on this product.