Promotional price valid on web orders only. Your contract pricing may differ. Interested in signing up for a dedicated account number?
Learn More
Learn More
Invitrogen™ TIMM23 Polyclonal Antibody

Rabbit Polyclonal Antibody
Supplier: Invitrogen™ PA598194
Description
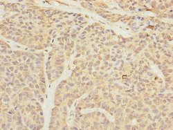
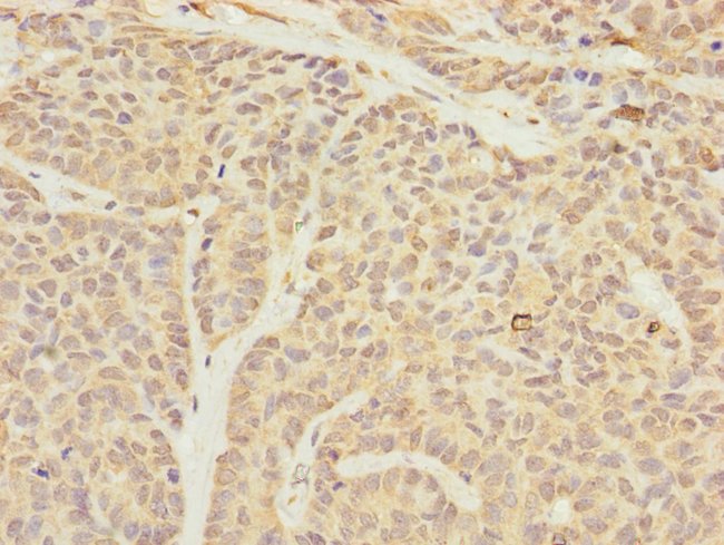
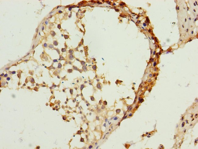
TIMM23 Polyclonal Antibody for Western Blot, IHC (P), ELISA
Essential component of the TIM23 complex, a complex that mediates the translocation of transit peptide-containing proteins across the mitochondrial inner membrane.
Specifications
TIMM23 | |
Polyclonal | |
Unconjugated | |
Timm23 | |
mitochondrial import inner membrane translocase subunit Tim23; TIM23; TIMM23; translocase of inner mitochondrial membrane 23; translocase of inner mitochondrial membrane 23 homolog; translocase of inner mitochondrial membrane 23 homolog (yeast); translocase of the inner mitochondrial membrane | |
Rabbit | |
Antigen Affinity Chromatography | |
RUO | |
100287932, 53600, 54312 | |
-20°C or -80°C if preferred | |
Liquid |
ELISA, Immunohistochemistry (Paraffin), Western Blot | |
0.4 mg/mL | |
PBS with 50% glycerol and 0.02% sodium azide; pH 7.3 | |
O14925, O35093, Q9WTQ8 | |
Timm23 | |
Recombinant Human Mitochondrial import inner membrane translocase subunit Tim23 protein (1-209AA). | |
100 μL | |
Primary | |
Human, Mouse, Rat | |
Antibody | |
IgG |
Product Content Correction
Your input is important to us. Please complete this form to provide feedback related to the content on this product.
Product Title
Spot an opportunity for improvement?Share a Content Correction