Promotional price valid on web orders only. Your contract pricing may differ. Interested in signing up for a dedicated account number?
Learn More
Learn More
TIMM50 Antibody, Novus Biologicals™

Rabbit Polyclonal Antibody
Supplier: Novus Biologicals NBP238791
Description
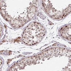
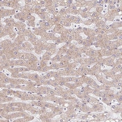
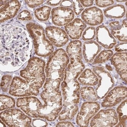
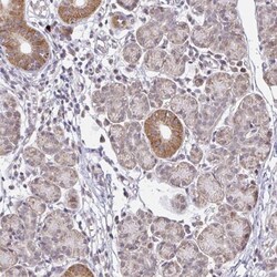
TIMM50 Polyclonal specifically detects TIMM50 in Human samples. It is validated for Western Blot, Immunohistochemistry, Immunocytochemistry/Immunofluorescence, Immunohistochemistry-Paraffin.Specifications
| TIMM50 | |
| Polyclonal | |
| Western Blot 0.04 - 0.4 ug/ml, Immunohistochemistry 1:20 - 1:50, Immunocytochemistry/Immunofluorescence 0.25-2 ug/ml, Immunohistochemistry-Paraffin 1:20 - 1:50 | |
| Q3ZCQ8 | |
| TIMM50 | |
| This antibody was developed against a recombinant protein corresponding to amino acids: TGWRFKKRPGIETLFQQLAPLYEIVIFTSETGMTAFPLIDSVDPHGFISYRLFRDATRYMDGHHVKDISCLNRDPARVVVVDC | |
| 0.1 mL | |
| Primary | |
| Specificity of antibody verified on a Protein Array containing target protein plus 383 other non-specific proteins. | |
| Store at 4C short term. Aliquot and store at -20C long term. Avoid freeze-thaw cycles. |
| Western Blot, Immunohistochemistry, Immunocytochemistry, Immunofluorescence, Immunohistochemistry (Paraffin) | |
| Unconjugated | |
| PBS (pH 7.2) and 40% Glycerol with 0.02% Sodium Azide | |
| homolog of yeast Tim50, MGC102733, mitochondrial import inner membrane translocase subunit TIM50, TIM50, TIM50L, Tim50-like protein, translocase of inner mitochondrial membrane 50 homolog (S. cerevisiae), translocase of inner mitochondrial membrane 50 homolog (yeast) | |
| Rabbit | |
| Affinity Purified | |
| RUO | |
| 92609 | |
| Human | |
| IgG |
Product Content Correction
Your input is important to us. Please complete this form to provide feedback related to the content on this product.
Product Title
Spot an opportunity for improvement?Share a Content Correction