Promotional price valid on web orders only. Your contract pricing may differ. Interested in signing up for a dedicated account number?
Learn More
Learn More
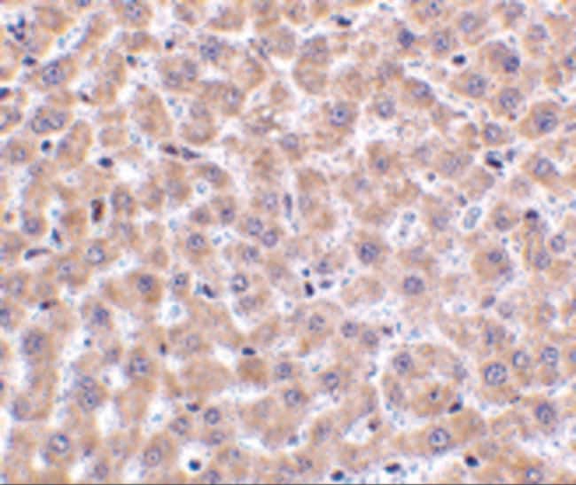
Invitrogen™ TIP47 Polyclonal Antibody

Rabbit Polyclonal Antibody
Supplier: Invitrogen™ PA520273
Description
A suggested positive control is EL4 cell lysate. PA5-20273 can be used with blocking peptide PEP-0388.
TIP47 has been described as cargo protein involved in the trafficking of the mannose-6-phosphate receptor between endosomes and the Golgi complex. Mannose 6-phophate receptors (MPRs) deliver lysosomal hydrolase from the Golgi to endosomes and then return to the Golgi complex. The protein encoded by this gene interacts with the cytoplasmic domains of both cation-independent and cation-dependent MPRs and is required for endosome to Golgi transport. This protein also binds directly to the GTPase RAB9, a member of the RAS oncogene family. The interaction with RAB9 has been shown to increase the affinity of this protein for its cargo. TIP47 has been localized in milk fat globule membranes of human and bovine origin. It has been described as a placental protein, as well. Increased amounts of TIP47 are secreted into circulation of cervix carcinoma patients. Therefore, this protein is probably significant as an oncodevelopmental marker.
Specifications
| TIP47 | |
| Polyclonal | |
| Unconjugated | |
| PLIN3 | |
| 1300012C15Rik; 47 kDa mannose 6-phosphate receptor-binding protein; 47 kDa MPR-binding protein; 47 kDa tail interaction protein; cargo selection protein TIP47; M6prbp1; mannose 6 phosphate receptor binding protein 1; mannose-6-phosphate receptor binding protein 1; mannose-6-phosphate receptor-binding protein 1; MGC11117; MGC2012; perilipin 3; perilipin-3; Placental protein 17; Plin3; PP17; tail-interacting protein, 47 kD; testicular tissue protein Li 114; TIP47; Unknown (protein for MGC:128897) | |
| Rabbit | |
| Antigen Affinity Chromatography | |
| RUO | |
| 10226, 316130, 66905 | |
| Maintain refrigerated at 2-8°C for up to 3 months. For long term storage store at -20°C | |
| Liquid |
| Immunohistochemistry (Paraffin), Western Blot | |
| 1 mg/mL | |
| PBS with 0.02% sodium azide | |
| O60664, Q9DBG5 | |
| PLIN3 | |
| A 14 amino acid peptide from near the amino terminus of human TIP47. | |
| 100 μg | |
| Primary | |
| Human, Mouse, Rat | |
| Antibody | |
| IgG |
Product Content Correction
Your input is important to us. Please complete this form to provide feedback related to the content on this product.
Product Title
Spot an opportunity for improvement?Share a Content Correction