Promotional price valid on web orders only. Your contract pricing may differ. Interested in signing up for a dedicated account number?
Learn More
Learn More
Invitrogen™ TLR7 Polyclonal Antibody

Rabbit Polyclonal Antibody
Supplier: Invitrogen™ PA511605
Description
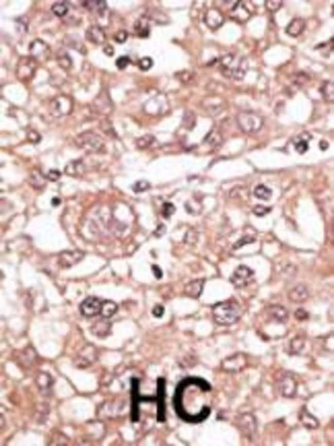
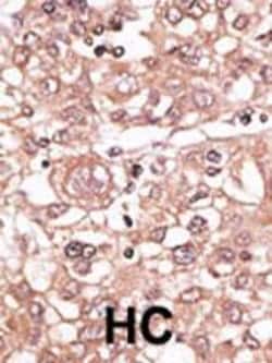
TLR7 Polyclonal Antibody for Western Blot, IHC (P)
TLR7 is a 10 amino acid long highly conserved membrane protein belonging to the Toll-like receptor (TLR) family with 27 LRR (leucine-rich) repeats and a TIR domain. TLR7 plays a fundamental role in pathogen recognition and activation of innate immunity. TLR7 is activated by infections with single-stranded RNA viruses, including influenza virus and vesicular stomatitis virus (VSV). TLR7 is predominantly expressed in lung, placenta, and spleen, and lies in close proximity to another family member, TLR8. TLR7 also acts via MyD88 and TRAF6, leading to NF-kappaB activation, cytokine secretion and the inflammatory response. TLR7 recognize pathogen-associated molecular patterns (PAMPs) that are expressed on infectious agents, and mediate the production of cytokines necessary for the development of effective immunity.
Specifications
TLR7 | |
Polyclonal | |
Unconjugated | |
TLR7 | |
RGD1563357; RP23-139P21.3; Tlr7; TLR7-like; toll like receptor 7; toll-like receptor 7; toll-like receptor 7-like; UNQ248/PRO285 | |
Rabbit | |
Ammonium sulfate precipitation, Size-exclusion - Dialysis | |
RUO | |
170743, 51284 | |
Store at 4°C short term. For long term storage, store at -20°C, avoiding freeze/thaw cycles. | |
Liquid |
Immunohistochemistry (Paraffin), Western Blot | |
2 mg/mL | |
PBS with 0.09% sodium azide; pH 7.4 | |
P58681, Q9NYK1 | |
TLR7 | |
KLH conjugated synthetic peptide between 98-128 amino acids from the N-terminal region of human TLR7. | |
400 μL | |
Primary | |
Human, Mouse | |
Antibody | |
IgG |
Safety and Handling
WARNING: Cancer - www.P65Warnings.ca.gov
Product Content Correction
Your input is important to us. Please complete this form to provide feedback related to the content on this product.
Product Title
Spot an opportunity for improvement?Share a Content Correction