Learn More
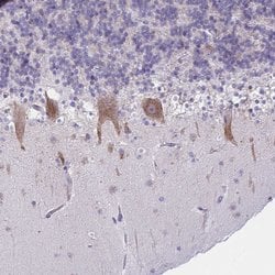
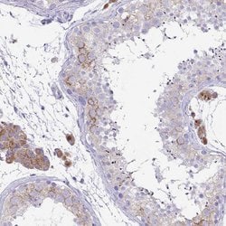
Invitrogen™ TMEM106B Polyclonal Antibody

Description
Immunogen sequence: GKSLSHLPLH SSKEDAYDGV TSENMRNGLV NSEVHNEDGR NGDVSQFPYV EF Highest antigen sequence identity to the following orthologs: Mouse - 91%, Rat - 87%.
Specifications
Specifications
| Antigen | TMEM106B |
| Applications | Immunohistochemistry (Paraffin), Immunoprecipitation, Western Blot, Immunocytochemistry |
| Classification | Polyclonal |
| Concentration | 0.1 mg/mL |
| Conjugate | Unconjugated |
| Formulation | PBS with 40% glycerol and 0.02% sodium azide; pH 7.2 |
| Gene | TMEM106B |
| Gene Accession No. | Q9NUM4 |
| Gene Alias | 2310036D22Rik; 5830455K21Rik; 6430519M21Rik; AI428776; AI661344; hypothetical protein LOC508903; LRRGT00101; tmem106b; tmem106bb; Transmembrane protein 106B; transmembrane protein 106Bb; zgc:114147 |
| Gene Symbols | TMEM106B |
| Show More |
By clicking Submit, you acknowledge that you may be contacted by Fisher Scientific in regards to the feedback you have provided in this form. We will not share your information for any other purposes. All contact information provided shall also be maintained in accordance with our Privacy Policy.