Promotional price valid on web orders only. Your contract pricing may differ. Interested in signing up for a dedicated account number?
Learn More
Learn More
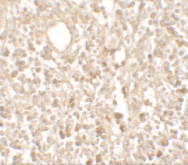
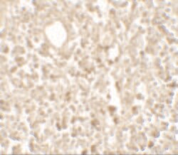
Invitrogen™ TMEM107 Polyclonal Antibody

Rabbit Polyclonal Antibody
Supplier: Invitrogen™ PA572774
Description
TMEM107 Polyclonal Antibody for Western Blot, IHC (P), ELISA
Gene ontology (GO) annotation includes embryonic digit morphogenesis; neural tube patterning; non-motile cilium assembly; protein localization to ciliary transition zone.
Specifications
TMEM107 | |
Polyclonal | |
Unconjugated | |
TMEM107 | |
1110004B13Rik; 2810049P21Rik; DC20; GRVS638; PRO1268; TMEM107; Transmembrane protein 107; UNQ638/PRO1268 | |
Rabbit | |
Antigen affinity chromatography | |
RUO | |
84314 | |
Store at 4°C short term. For long term storage, store at -20°C, avoiding freeze/thaw cycles. | |
Liquid |
ELISA, Immunohistochemistry (Paraffin), Western Blot | |
1 mg/mL | |
PBS with 0.02% sodium azide | |
Q6UX40 | |
TMEM107 | |
TMEM107 antibody for a 19 amino acid peptide near the amino terminus of human TMEM107. The immunogen is within amino acids 20 - 70 of TMEM107. | |
100 μg | |
Primary | |
Human | |
Antibody | |
IgG |
Safety and Handling
WARNING: Cancer - www.P65Warnings.ca.gov
Product Content Correction
Your input is important to us. Please complete this form to provide feedback related to the content on this product.
Product Title
Spot an opportunity for improvement?Share a Content Correction