Promotional price valid on web orders only. Your contract pricing may differ. Interested in signing up for a dedicated account number?
Learn More
Learn More
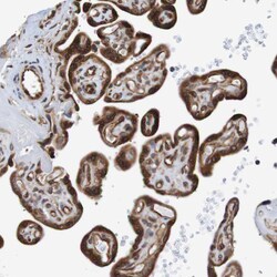
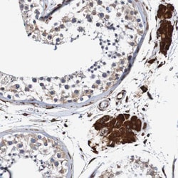
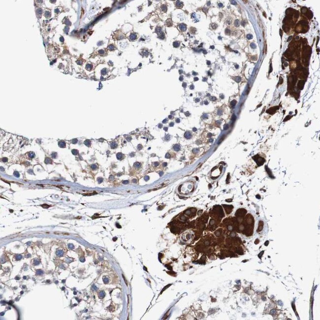
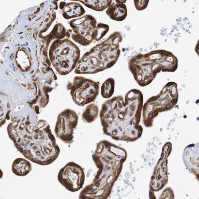
Invitrogen™ TMEM109 Polyclonal Antibody

Rabbit Polyclonal Antibody
Supplier: Invitrogen™ PA552857
Description
Immunogen sequence: LEAKVRGLER QVEELRWRQR RAAKGARSVE E Highest antigen sequence identity to the following orthologs: Mouse - 84%, Rat - 84%.
May mediate cellular response to DNA damage by protecting against ultraviolet C-induced cell death (PubMed:23542032). Can form voltage-gated calcium and potassium channels in vitro. [UniProt].
Specifications
| TMEM109 | |
| Polyclonal | |
| Unconjugated | |
| TMEM109 | |
| 1110006I15Rik; AA958958; C77652; hypothetical LOC540138; mg23; MGC5508; mitsugumin 23; mitsugumin23; mitsugumin-23; TMEM109; Transmembrane protein 109 | |
| Rabbit | |
| Antigen affinity chromatography | |
| RUO | |
| 361732, 68539, 79073 | |
| Store at 4°C short term. For long term storage, store at -20°C, avoiding freeze/thaw cycles. | |
| Liquid |
| Immunohistochemistry (Paraffin), Western Blot, Immunocytochemistry | |
| 0.2 mg/mL | |
| PBS with 40% glycerol and 0.02% sodium azide; pH 7.2 | |
| Q3UBX0, Q6AYQ4, Q9BVC6 | |
| TMEM109 | |
| Recombinant protein corresponding to Human TMEM109. Recombinant protein control fragment (Product #RP-89744). | |
| 100 μL | |
| Primary | |
| Human, Mouse, Rat | |
| Antibody | |
| IgG |
Product Content Correction
Your input is important to us. Please complete this form to provide feedback related to the content on this product.
Product Title
Spot an opportunity for improvement?Share a Content Correction