Promotional price valid on web orders only. Your contract pricing may differ. Interested in signing up for a dedicated account number?
Learn More
Learn More
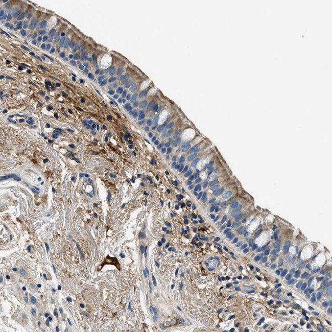
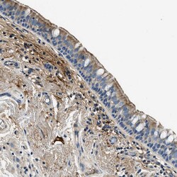
Invitrogen™ TMEM186 Polyclonal Antibody

Rabbit Polyclonal Antibody
Supplier: Invitrogen™ PA553759
Description
Immunogen sequence: GKAVWERPLH GLWCCSGQED PKRWVGSSSP ISKEKLPNAE TEKFWMFYRF DAI Highest antigen sequence identity to the following orthologs: Mouse - 66%, Rat - 62%.
This gene encodes a potential transmembrane protein.
Specifications
TMEM186 | |
Polyclonal | |
Unconjugated | |
TMEM186 | |
2810440M13Rik; 4432406C05Rik; AI648175; AW210586; C16orf51; TMEM186; Transmembrane protein 186 | |
Rabbit | |
Antigen affinity chromatography | |
RUO | |
25880 | |
Store at 4°C short term. For long term storage, store at -20°C, avoiding freeze/thaw cycles. | |
Liquid |
Immunohistochemistry (Paraffin), Western Blot | |
0.05 mg/mL | |
PBS with 40% glycerol and 0.02% sodium azide; pH 7.2 | |
Q96B77 | |
TMEM186 | |
Recombinant protein corresponding to Human TMEM186. Recombinant protein control fragment (Product #RP-91053). | |
100 μL | |
Primary | |
Human | |
Antibody | |
IgG |
Safety and Handling
WARNING: Cancer - www.P65Warnings.ca.gov
Product Content Correction
Your input is important to us. Please complete this form to provide feedback related to the content on this product.
Product Title
Spot an opportunity for improvement?Share a Content Correction