Promotional price valid on web orders only. Your contract pricing may differ. Interested in signing up for a dedicated account number?
Learn More
Learn More
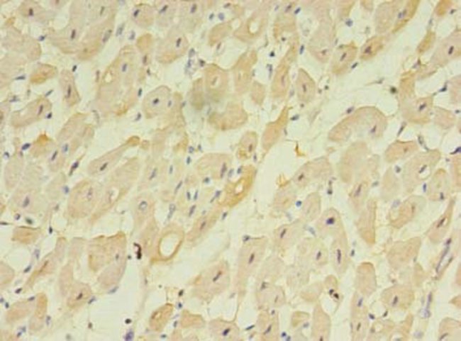
Invitrogen™ TMEM222 Polyclonal Antibody

Rabbit Polyclonal Antibody
Supplier: Invitrogen™ PA5112757
Description
TMEM222 Polyclonal Antibody for Western Blot, ICC/IF, IHC (P), ELISA
The function of this protein has not been specifically defined.
Specifications
| TMEM222 | |
| Polyclonal | |
| Unconjugated | |
| TMEM222 | |
| 5730406H10Rik; AA409341; C1orf160; D4Ertd196e; tm222; Tmem222; Transmembrane protein 222 | |
| Rabbit | |
| Protein G | |
| RUO | |
| 84065 | |
| -20°C or -80°C if preferred | |
| Liquid |
| ELISA, Immunohistochemistry (Paraffin), Western Blot, Immunocytochemistry | |
| 1 mg/mL | |
| PBS with 50% glycerol and 0.03% ProClin 300; pH 7.4 | |
| Q9H0R3 | |
| TMEM222 | |
| Recombinant Human Transmembrane protein 222 protein (77-164AA). | |
| 100 μg | |
| Primary | |
| Human | |
| Antibody | |
| IgG |
Safety and Handling
WARNING: Cancer - www.P65Warnings.ca.gov
Product Content Correction
Your input is important to us. Please complete this form to provide feedback related to the content on this product.
Product Title
Spot an opportunity for improvement?Share a Content Correction